• Tel: 858.663.9055
  • SeparatorEmail: info@nsjbio.com
  • Tel: 858.663.9055
  • Email: info@nsjbio.com
Home >> Antibodies >> Anti-MUC6 Antibody (Gastric Mucin)

Anti-MUC6 Antibody (Gastric Mucin) [clone SPM598] (V2742)

  Catalog No Formulation Size Price (USD)  
Image V2742-100UG 0.2 mg/ml in 1X PBS with 0.1 mg/ml BSA (US sourced) and 0.05% sodium azide 100 ug 539
Image
V2742-20UG 0.2 mg/ml in 1X PBS with 0.1 mg/ml BSA (US sourced) and 0.05% sodium azide 20 ug 249
Image
V2742SAF-100UG 1 mg/ml in 1X PBS; BSA free, sodium azide free 100 ug 539
Image
V2742IHC-7ML Prediluted in 1X PBS with 0.1 mg/ml BSA (US sourced) and 0.05% sodium azide; *For IHC use only* 7 ml 539
Bulk quote request
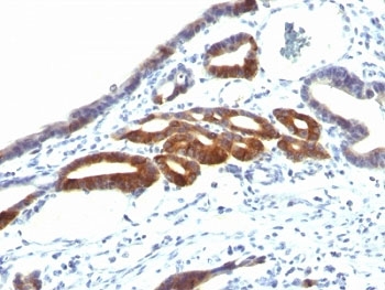
IHC: Formalin-fixed, paraffin-embedded human gastric carcinoma stained with anti-MUC6 antibody (SPM598).
Availability 1-3 business days
Species Reactivity Human
Format Purified
Clonality Monoclonal (mouse origin)
Isotype Mouse IgG1, kappa
Clone Name SPM598
Purity Protein G affinity chromatography
UniProt Q6W4X9
Localization Cytoplasmic & secreted
Applications Immunohistochemistry (FFPE) : 2-4ug/ml for 30 min at RT
Limitations This anti-MUC6 antibody is available for research use only.
Review this product on BioCompare and get a $20 Amazon gift card

Related Products

Description

The MUC6 gastric mucin is a secreted glycoprotein that plays an essential role in epithelial cyto-protection from acid, proteases, pathogenic microorganisms, and mechanical trauma in the gastrointestinal tract. Mucin 6 expression is highest in the stomach and gall bladder, with lower expression in the terminal ileum and right colon. In gastric cancer, Mucin 6 has an altered expression. In normal stomach, Mucin 6 is associated with Lewis type 2; Mucin 6 is also expressed in gastric metaplasia, duodenum and pancreas. Mucin 6 is a secretory mucin, located in the deeper mucosal folds of human gall bladder, and its expression is altered with increasing degrees of inflammation.

Application Notes

Optimal dilution of the anti-MUC6 antibody should be determined by the researcher.

1. Staining of formalin-fixed tissues requires boiling tissue sections in pH 9 10mM Tris with 1mM EDTA for 10-20 min followed by cooling at RT for 20 min
2. The prediluted format is supplied in a dropper bottle and is optimized for use in IHC. After epitope retrieval step (if required), drip mAb solution onto the tissue section and incubate at RT for 30 min.

Immunogen

A synthetic peptide of the gastric Mucin 6 tandem repeat sequence was used as the immunogen for the anti-MUC6 antibody.

Storage

Store the anti-MUC6 antibody at 2-8oC (with azide) or aliquot and store at -20oC or colder (without azide).

Cross
Bulk Quote Request Form
Name*:
Organization*:
Email*:
Phone Number*:
Catalog No.*:
Comments and Specifics(amount, formulation, etc.)*:
Validation code: Captchapackage Image


Can't read the image? click here to refresh.
    *required field

Your bulk quote request has been submitted successfully!

Please contact us if you have any questions.