• Tel: 858.663.9055
  • SeparatorEmail: info@nsjbio.com
  • Tel: 858.663.9055
  • Email: info@nsjbio.com
Home >> Antibodies >> Anti-MAP2 Antibody

Anti-MAP2 Antibody (F47823)

  Catalog No Formulation Size Price (USD)  
Image F47823-0.4ML In 1X PBS, pH 7.4, with 0.09% sodium azide 0.4 ml 429
Image
F47823-0.08ML In 1X PBS, pH 7.4, with 0.09% sodium azide 0.08 ml 199
Bulk quote request
Western blot analysis of anti-MAP2 antibody and 293 cell lysate (2 ug/lane) either nontransfected (Lane 1) or transiently transfected with the hMAP2-Q425 gene (2). MAP2 can be observed at ~280 kDa (isoforms A & B) and ~70 kDa (isoform C).
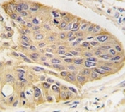
IHC analysis of FFPE human lung carcinoma tissue stained with anti-MAP2 antibody
Availability 1-3 business days
Species Reactivity Human
Format Antigen affinity purified
Clonality Polyclonal (rabbit origin)
Isotype Rabbit Ig
Purity Antigen affinity
UniProt P11137
Applications Western Blot : 1:1000
IHC (Paraffin) : 1:50-1:100
Limitations This anti-MAP2 antibody is available for research use only.
Review this product on BioCompare and get a $20 Amazon gift card

Related Products

Description

MAP2 belongs to the microtubule-associated protein family. It a major microtubule protein of the brain.

Application Notes

Titration of the anti-MAP2 antibody may be required due to differences in protocols and secondary/substrate sensitivity.

Immunogen

A portion of amino acids 1766-1796 from the human protein was used as the immunogen for this anti-MAP2 antibody.

Storage

Can be stored at 4oC for up to one month. For long-term, aliquot the anti-MAP2 antibody and store frozen at -20oC or colder. Avoid repeated freeze-thaw cycles.

Cross
Bulk Quote Request Form
Name*:
Organization*:
Email*:
Phone Number*:
Catalog No.*:
Comments and Specifics(amount, formulation, etc.)*:
Validation code: Captchapackage Image


Can't read the image? click here to refresh.
    *required field

Your bulk quote request has been submitted successfully!

Please contact us if you have any questions.