• Tel: 858.663.9055
  • SeparatorEmail: info@nsjbio.com
  • Tel: 858.663.9055
  • Email: info@nsjbio.com
Home >> Antibodies >> Anti-HMGB1 Antibody

Anti-HMGB1 Antibody [clone 393CT23.1.4] (F53599)

  Catalog No Formulation Size Price (USD)  
Image F53599-0.1ML In ascites with 0.09% sodium azide 0.1 ml 429
Bulk quote request
Anti-HMGB1 antibody western blot analysis in mouse brain tissue lysate. Predicted molecular weight ~25 kDa.
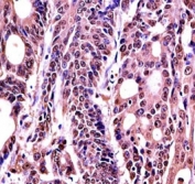
Anti-HMGB1 antibody immunohistochemistry analysis in formalin fixed and paraffin embedded human colon carcinoma.
Availability 1-3 business days
Species Reactivity Human, Mouse
Predicted Reactivity Rat, Bovine, Pig, Primate, Hamster
Format Ascites
Clonality Monoclonal (mouse origin)
Isotype Mouse IgM
Clone Name 393CT23.1.4
Purity Ascites
UniProt P09429
Applications Western Blot : 1:500-1:1600
IHC (Paraffin) : 1:10-1:50
Limitations This anti-HMGB1 antibody is available for research use only.
Review this product on BioCompare and get a $20 Amazon gift card

Related Products

  • Applications : WB
    Reactivity : Human, Mouse
  • Applications : IHC-P, WB
    Reactivity : Human, Rat
    Rab Mono Image
  • Applications : WB, FACS, IHC-P
    Reactivity : Human, Mouse, Rat, Monkey
  • Applications : WB, ELISA
    Reactivity : Human
    Pred. Reactivity : Primate
  • Applications : WB, ELISA
    Reactivity : Human
    Pred. Reactivity : Mouse, Rat, Bovine, Pig, Primate, Hamster
  • Applications : WB, IHC-P
    Reactivity : Human, Mouse, Rat
  • Applications : IHC-P, WB
    Reactivity : Zebrafish

Description

HMGB1 is a promoter of the immune response to injury or infection.

Application Notes

Titration of the anti-HMGB1 antibody may be required due to differences in protocols and secondary/substrate sensitivity.

Immunogen

A portion of amino acids 152-180 from the human protein was used as the immunogen for this anti-HMGB1 antibody.

Storage

Aliquot the anti-HMGB1 antibody and store frozen at -20oC or colder. Avoid repeated freeze-thaw cycles.

Alternate Names

HMG1

Cross
Bulk Quote Request Form
Name*:
Organization*:
Email*:
Phone Number*:
Catalog No.*:
Comments and Specifics(amount, formulation, etc.)*:
Validation code: Captchapackage Image


Can't read the image? click here to refresh.
    *required field

Your bulk quote request has been submitted successfully!

Please contact us if you have any questions.