• Tel: 858.663.9055
  • SeparatorEmail: info@nsjbio.com
  • Tel: 858.663.9055
  • Email: info@nsjbio.com
Home >> Antibodies >> Anti-HER2 Antibody

Anti-HER2 Antibody (F50601)

  Catalog No Formulation Size Price (USD)  
Image F50601-0.4ML In 1X PBS, pH 7.4, with 0.09% sodium azide 0.4 ml 429
Image
F50601-0.08ML In 1X PBS, pH 7.4, with 0.09% sodium azide 0.08 ml 199
Bulk quote request
Western blot analysis of anti-HER2 antibody and 293 cell lysate (2 ug/lane) either nontransfected (Lane 1) or transiently transfected with the ERBB2 gene (2).
Western blot analysis of anti-HER2 in T47D cell lysate, either noninduced (Lane 1) or induced with HRG (2).
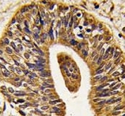
IHC analysis of FFPE human prostate carcinoma tissue stained with anti-HER2 antibody
Availability 1-3 business days
Species Reactivity Human
Predicted Reactivity Mouse, Rat
Format Antigen affinity purified
Clonality Polyclonal (rabbit origin)
Isotype Rabbit Ig
Purity Antigen affinity
UniProt P04626
Applications Western Blot : 1:1000
IHC (Paraffin) : 1:10-1:50
Limitations This anti-HER2 antibody is available for research use only.
Review this product on BioCompare and get a $20 Amazon gift card

Related Products

Description

HER2/ErbB2, a member of the EGF receptor family, is an essential component of a neuregulin-receptor complex, although neuregulins do not interact with it alone. GP30 is a potential ligand for this receptor. This protein is not activated by EGF, TGF-alpha and amphiregulin. ErbB2 potentially forms a heterodimer with each of the other ERBB receptors. An interaction with PRKCABP has been suggested. Ligand-binding to this Type I membrane protein may increase phosphorylation on tyrosine residues.

Application Notes

Titration of the anti-HER2 antibody may be required due to differences in protocols and secondary/substrate sensitivity.

Immunogen

A portion of amino acids 1227-1255 from the human protein was used as the immunogen for this anti-HER2 antibody.

Storage

Aliquot the anti-HER2 antibody and store frozen at -20oC or colder. Avoid repeated freeze-thaw cycles.

Cross
Bulk Quote Request Form
Name*:
Organization*:
Email*:
Phone Number*:
Catalog No.*:
Comments and Specifics(amount, formulation, etc.)*:
Validation code: Captchapackage Image


Can't read the image? click here to refresh.
    *required field

Your bulk quote request has been submitted successfully!

Please contact us if you have any questions.