• Tel: 858.663.9055
  • SeparatorEmail: info@nsjbio.com
  • Tel: 858.663.9055
  • Email: info@nsjbio.com
Home >> Antibodies >> Anti-EpCAM Antibody / Extracellular domain

Anti-EpCAM Antibody / Extracellular domain [clone EGP40/1372] (V3525)

  Catalog No Formulation Size Price (USD)  
Image V3525-100UG 0.2 mg/ml in 1X PBS with 0.1 mg/ml BSA (US sourced) and 0.05% sodium azide 100 ug 539
Image
V3525-20UG 0.2 mg/ml in 1X PBS with 0.1 mg/ml BSA (US sourced) and 0.05% sodium azide 20 ug 249
Image
V3525SAF-100UG 1 mg/ml in 1X PBS; BSA free, sodium azide free 100 ug 539
Image
V3525IHC-7ML Prediluted in 1X PBS with 0.1 mg/ml BSA (US sourced) and 0.05% sodium azide; *For IHC use only* 7 ml 539
Microvalidated
Bulk quote request
Immunofluorescent staining of FFPE human colorectal carcinoma with anti-EpCAM antibody (green) and Reddot nuclear stain (red).
Immunofluorescent staining of human MCF-7 cells with anti-EpCAM antibody (green, clone EGP40/1372) and Reddot nuclear stain (red).
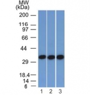
Western blot testing of human 1) HEK293, 2) A431 and 3) HCT116 cell lysate with anti-EpCAM antibody (clone EGP40/1372). Expected molecular weight: ~35 kDa (unmodified), 40-43 kDa (glycosylated).
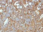
IHC testing of FFPE human hepatocellular carcinoma and anti-EpCAM antibody (clone EGP40/1372). Required HIER: steam sections in pH 9 10mM Tris with 1mM EDTA for 10-20 min.
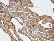
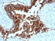
IHC testing of FFPE human colorectal carcinoma and anti-EpCAM antibody (clone EGP40/1372). Required HIER: steam sections in pH 9 10mM Tris with 1mM EDTA for 10-20 min.
Western blot testing of human lung lysate with anti-EpCAM antibody (clone EGP40/1372). Expected molecular weight: ~35 kDa (unmodified), 40-43 kDa (glycosylated).
Flow cytometry testing of PFA-fixed human MCF7 cells with anti-EpCAM antibody (clone EGP40/1372); Red=isotype control, Blue= anti-EpCAM antibody.
Analysis of HuProt(TM) microarray containing more than 19,000 full-length human proteins using the anti-EpCAM antibody (clone EGP40/1372). These results demonstrate the foremost specificity of the EGP40/1372 mAb.

Z- and S- score: The Z-score represents the strength of a signal that an antibody (in combination with a fluorescently-tagged anti-IgG secondary Ab) produces when binding to a particular protein on the HuProt(TM) array. Z-scores are described in units of standard deviations (SD's) above the mean value of all signals generated on that array. If the targets on the HuProt(TM) are arranged in descending order of the Z-score, the S-score is the difference (also in units of SD's) between the Z-scores. The S-score therefore represents the relative target specificity of an Ab to its intended target.

SDS-PAGE analysis of purified, BSA-free anti-EpCAM antibody (clone EGP40/1372) as confirmation of integrity and purity.
IHC testing of FFPE dog bladder and EpCAM antibody (clone EGP40/1372). HIER: steam sections in pH9 EDTA for 10-20 min.
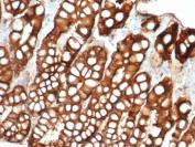
IHC testing of FFPE cat small intestine and EpCAM antibody (clone EGP40/1372). HIER: steam sections in pH9 EDTA for 10-20 min.
Western blot testing of human MCF7 cell lysate with anti-EpCAM antibody (clone EGP40/1372). Expected molecular weight: ~35 kDa (unmodified), 40-43 kDa (glycosylated).
Availability 1-3 business days
Species Reactivity Human, Dog, Cat
Format Purified
Clonality Monoclonal (mouse origin)
Isotype Mouse IgG1, kappa
Clone Name EGP40/1372
Purity Protein G affinity chromatography
UniProt P16422
Localization Cell surface, cytoplasmic
Applications Flow Cytometry : 1-2ug/10^6 cells
Immunofluorescence : 1-2ug/ml
Western Blot : 1-2ug/ml
Immunohistochemistry (FFPE) : 1-2ug/ml for 30 min at RT
Limitations This anti-EpCAM antibody is available for research use only.
Review this product on BioCompare and get a $20 Amazon gift card

Related Products

  • Applications : IHC-P
    Reactivity : Human, Mouse, Rat, Dog, Cat
    Microvalidated
  • Applications : FACS, IF, IHC-P
    Reactivity : Human
    Citation  Citations(21)
  • Applications : FACS
    Reactivity : Human. Does not react with rat. Other species not known.
    Citation  Citations(9)
  • Applications : FACS, IF, IHC-P
    Reactivity : Human
    Citation  Citations(9)
  • Applications : WB
    Reactivity : Human
  • Applications : FACS
    Reactivity : Human
    Citation  Citations(9)
  • Applications : FACS, IF, WB, IHC-P
    Reactivity : Human
  • Applications : IHC-P
    Reactivity : Human
    Citation  Citations(1)
  • Applications : WB, IHC-P
    Reactivity : Human
    Citation  Citations(6)
  • Applications : FACS, IF, WB, IHC-P
    Reactivity : Human
  • Applications : FACS, IF, WB, IHC-P
    Reactivity : Human
  • Applications : WB, ELISA
    Reactivity : Human
  • Applications : FACS, WB, ELISA
    Reactivity : Human
  • Applications : WB, ELISA
    Reactivity : Human
    Pred. Reactivity : Bovine, Pig
  • Applications : FACS, WB, ELISA
    Reactivity : Mouse, Human
    Pred. Reactivity : Rat
  • Applications : WB, ELISA
    Reactivity : Mouse
    Pred. Reactivity : Rat
  • Applications : WB, ELISA
    Reactivity : Human, Mouse, Rat

Description

Anti-EpCAM antibody is a well established reagent for investigating epithelial cell adhesion molecule, also known as EpCAM. This transmembrane glycoprotein is expressed on the surface of most epithelial cells and is overexpressed in many carcinomas. EpCAM mediates cell cell adhesion, regulates signaling pathways, and influences cell proliferation and differentiation. Its widespread presence in epithelial tissues and cancers has made it an important focus in both biology and pathology.

EpCAM contributes to intercellular adhesion by forming homophilic interactions at epithelial junctions. Beyond structural roles, it functions as a signaling regulator, with its intracellular domain influencing transcriptional activity linked to proliferation. Dysregulated expression of EpCAM is common in epithelial tumors, where it supports growth, migration, and metastasis. Because of this, EpCAM has been investigated as both a biomarker and a therapeutic target.

The Anti-EpCAM antibody clone EGP40/1372 provides specific recognition of this glycoprotein. Clone EGP40/1372 has been applied in cancer biology to track EpCAM expression in colorectal, breast, ovarian, and pancreatic carcinomas. It has also been used in stem cell research, where EpCAM marks epithelial progenitors and cancer stem cell populations. Its reproducibility makes it valuable for experiments requiring reliable detection of EpCAM across tissues.

Research involving EpCAM has expanded understanding of tumor biology and cell adhesion. Studies using clone EGP40/1372 have highlighted the role of EpCAM in regulating proliferation and invasion, clarifying why it is consistently overexpressed in carcinomas. Beyond oncology, EpCAM serves as a marker for epithelial cells in development and regenerative medicine, where it supports identification of progenitor populations.

NSJ Bioreagents offers this Anti-EpCAM antibody to support investigations into epithelial biology, cancer progression, and stem cell research. Alternate names include epithelial cell adhesion molecule antibody, ESA antibody, TACSTD1 antibody, and 323A3 12 antibody, which reflect the varied nomenclature encountered in scientific studies.

Application Notes

Titering of the anti-EpCAM antibody may be required for optimal performance.

1. The prediluted format is supplied in a dropper bottle and is optimized for use in IHC. After epitope retrieval step (if required), drip mAb solution onto the tissue section and incubate at RT for 30 min.

Immunogen

A human partial recombinant protein corresponding to amino acids 100-224 (extracellular domain) was used as the immunogen for the anti-EpCAM antibody.

Storage

Store the anti-EpCAM antibody at 2-8oC (with azide) or aliquot and store at -20oC or colder (without azide).

Cross
Bulk Quote Request Form
Name*:
Organization*:
Email*:
Phone Number*:
Catalog No.*:
Comments and Specifics(amount, formulation, etc.)*:
Validation code: Captchapackage Image


Can't read the image? click here to refresh.
    *required field

Your bulk quote request has been submitted successfully!

Please contact us if you have any questions.