• Tel: 858.663.9055
  • SeparatorEmail: info@nsjbio.com
  • Tel: 858.663.9055
  • Email: info@nsjbio.com
Home >> Antibodies >> Anti-CD19 Antibody

Anti-CD19 Antibody (R31973)

  Catalog No Formulation Size Price (USD)  
Image R31973 0.5mg/ml if reconstituted with 0.2ml sterile DI water 100 ug 439
Bulk quote request
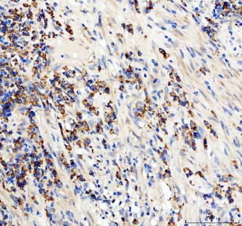
IHC staining of FFPE human appendix tissue with anti-CD19 antibody. HIER: boil tissue sections in pH8 EDTA for 20 min and allow to cool before testing.
IHC testing of FFPE human tonsil with anti-CD19 antibody. HIER: Boil the paraffin sections in pH 6, 10mM citrate buffer for 20 minutes and allow to cool prior to staining.
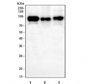
Western blot testing of human 1) Raji, 2) Ramos and 3) Daudi cell lysate with anti-CD19 antibody. Expected molecular weight: 60~100 kDa depending on glycosylation level.
Availability 1-3 business days
Species Reactivity Human
Format Antigen affinity purified
Clonality Polyclonal (rabbit origin)
Isotype Rabbit IgG
Purity Antigen affinity
Buffer Lyophilized from 1X PBS with 2% Trehalose
UniProt P15391
Localization Cell surface, cytoplasmic
Applications Western Blot : 0.5-1ug/ml
Immunohistochemistry (FFPE) : 2-5ug/ml
Limitations This anti-CD19 antibody is available for research use only.
Review this product on BioCompare and get a $20 Amazon gift card

Related Products

Description

B-lymphocyte antigen CD19, also known as CD19 (Cluster of Differentiation 19), is a protein that in humans is encoded by the CD19 gene. It is found on the surface of B-cells, a type of white blood cell. Lymphocytes proliferate and differentiate in response to various concentrations of different antigens. The ability of the B cell to respond in a specific, yet sensitive manner to the various antigens is achieved with the use of low-affinity antigen receptors. The CD19 gene encodes a cell surface molecule that assembles with the antigen receptor of B lymphocytes in order to decrease the threshold for antigen receptor-dependent stimulation.

Application Notes

Optimal dilution of the anti-CD19 antibody should be determined by the researcher.

Immunogen

Amino acids LVGILHLQRALVLRRKRKRMTDPTRRFFKVT of human CD19 were used as the immunogen for the anti-CD19 antibody.

Storage

After reconstitution, the anti-CD19 antibody can be stored for up to one month at 4oC. For long-term, aliquot and store at -20oC. Avoid repeated freezing and thawing.

Cross
Bulk Quote Request Form
Name*:
Organization*:
Email*:
Phone Number*:
Catalog No.*:
Comments and Specifics(amount, formulation, etc.)*:
Validation code: Captchapackage Image


Can't read the image? click here to refresh.
    *required field

Your bulk quote request has been submitted successfully!

Please contact us if you have any questions.