• Tel: 858.663.9055
  • SeparatorEmail: info@nsjbio.com
  • Tel: 858.663.9055
  • Email: info@nsjbio.com
Home >> Antibodies >> Anti-Bcl6 Antibody

Anti-Bcl6 Antibody [clone SPM602] (V2840)

  Catalog No Formulation Size Price (USD)  
Image V2840-100UG 0.2 mg/ml in 1X PBS with 0.1 mg/ml BSA (US sourced) and 0.05% sodium azide 100 ug 539
Image
V2840-20UG 0.2 mg/ml in 1X PBS with 0.1 mg/ml BSA (US sourced) and 0.05% sodium azide 20 ug 249
Image
V2840SAF-100UG 1 mg/ml in 1X PBS; BSA free, sodium azide free 100 ug 539
Image
V2840IHC-7ML Prediluted in 1X PBS with 0.1 mg/ml BSA (US sourced) and 0.05% sodium azide; *For IHC use only* 7 ml 539
Bulk quote request
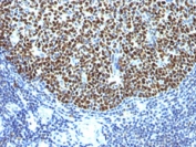
IHC testing of formalin-fixed, paraffin-embedded human lymphoma stained with anti-Bcl6 antibody (clone SPM602).
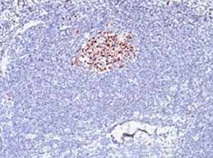
IHC testing of formalin-fixed, paraffin-embedded human tonsil stained with anti-Bcl6 antibody (clone SPM602).
Availability 1-3 business days
Species Reactivity Human, Mouse
Format Purified
Clonality Monoclonal (mouse origin)
Isotype Mouse IgG1, kappa
Clone Name SPM602
Purity Protein G affinity chromatography
UniProt P41182
Localization Nuclear
Applications Immunohistochemistry (FFPE) : 0.125-0.25ug/ml for 30 min at RT
Limitations This anti-Bcl6 antibody is available for research use only.
Review this product on BioCompare and get a $20 Amazon gift card

Related Products

Description

Recognizes a protein of 95kDa, which is identified as Bcl-6. Antibody to bcl-6 is helpful in a number of diagnostic settings: (1) In the differential diagnosis of small B-cell lymphoma. Follicular lymphoma will show bcl-6 (and CD10) positivity whereas other small B-cell lymphomas are usually negative. (2) Bcl-6 is an important prognostic marker in diffuse large B-cell lymphomas (DLBCL), where CD10, bcl-6 and MUM1/IRF4 are used to identify germinal center and activated B-cell phenotypes. (3) Bcl-6 can be valuable in distinguishing classical Hodgkin lymphoma from nodular lymphocyte predominant Hodgkin lymphoma (NLPHL). The Reed-Sternberg cells of classical Hodgkin lymphoma are bcl-6 negative whereas the large (L&H) cells of NLPHL are bcl-6 positive. In contrast, anti-Bcl-6 rarely stains mantle-cell lymphoma and MALT lymphoma.

Application Notes

Optimal dilution of the anti-Bcl6 antibody should be determined by the researcher.

1. Staining of formalin-fixed tissues requires boiling tissue sections in 10mM Tris with 1mM EDTA, pH 9, for 10-20 min followed by cooling at RT for 20 min.
2. The prediluted format is supplied in a dropper bottle and is optimized for use in IHC. After epitope retrieval step (if required), drip mAb solution onto the tissue section and incubate at RT for 30 min.

Immunogen

Recombinant human protein was used as the immunogen for the anti-Bcl6 antibody.

Storage

Store the anti-Bcl6 antibody at 2-8oC (with azide) or aliquot and store at -20oC or colder (without azide).

Cross
Bulk Quote Request Form
Name*:
Organization*:
Email*:
Phone Number*:
Catalog No.*:
Comments and Specifics(amount, formulation, etc.)*:
Validation code: Captchapackage Image


Can't read the image? click here to refresh.
    *required field

Your bulk quote request has been submitted successfully!

Please contact us if you have any questions.