• Tel: 858.663.9055
  • SeparatorEmail: info@nsjbio.com
  • Tel: 858.663.9055
  • Email: info@nsjbio.com
Home >> Antibodies >> ANPEP Antibody / CD13

ANPEP Antibody / CD13 [clone 5B9] (RQ6238)

  Catalog No Formulation Size Price (USD)  
Image RQ6238 0.5mg/ml if reconstituted with 0.2ml sterile DI water 100 ug 439
Bulk quote request
IHC staining of FFPE human rectal cancer with ANPEP antibody. HIER: boil tissue sections in pH8 EDTA for 20 min and allow to cool before testing.
IHC staining of FFPE human prostate cancer with ANPEP antibody. HIER: boil tissue sections in pH8 EDTA for 20 min and allow to cool before testing.
IHC staining of FFPE human lung cancer with ANPEP antibody. HIER: boil tissue sections in pH8 EDTA for 20 min and allow to cool before testing.
IHC staining of FFPE human liver cancer with ANPEP antibody. HIER: boil tissue sections in pH8 EDTA for 20 min and allow to cool before testing.
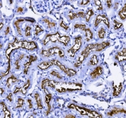
IHC staining of FFPE rat kidney with ANPEP antibody. HIER: boil tissue sections in pH8 EDTA for 20 min and allow to cool before testing.
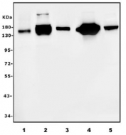
Western blot testing of 1) human ThP-1, 2) PC-3, 3) monkey kidney, 4) rat kidney and 5) rat liver lysate with ANPEP antibody. Expected molecular weight: 110-150 kDa depending on glycosylation level.
Availability 1-3 business days
Species Reactivity Human, Rat, Monkey
Format Antigen affinity purified
Clonality Monoclonal (mouse origin)
Isotype Mouse IgG2b
Clone Name 5B9
Purity Affinity purified
Buffer Lyophilized from 1X PBS with 2% Trehalose
UniProt P15144
Applications Western Blot : 1-2ug/ml
Immunohistochemistry (FFPE) : 2-5ug/ml
Limitations This ANPEP antibody is available for research use only.
Review this product on BioCompare and get a $20 Amazon gift card

Related Products

Description

Membrane alanyl aminopeptidase (EC 3.4.11.2) also known as alanyl aminopeptidase (AAP) or aminopeptidase N (AP-N) is an enzyme that in humans is encoded by the ANPEP gene. It is mapped to 15q26.1. Aminopeptidase N is located in the small-intestinal and renal microvillar membrane, and also in other plasma membranes. In the small intestine aminopeptidase N plays a role in the final digestion of peptides generated from hydrolysis of proteins by gastric and pancreatic proteases. Its function in proximal tubular epithelial cells and other cell types is less clear. The large extracellular carboxyterminal domain contains a pentapeptide consensus sequence characteristic of members of the zinc-binding metalloproteinase superfamily. Sequence comparisons with known enzymes of this class showed that CD13 and aminopeptidase N are identical. The latter enzyme was thought to be involved in the metabolism of regulatory peptides by diverse cell types, including small intestinal and renal tubular epithelial cells, macrophages, granulocytes, and synaptic membranes from the CNS. Human aminopeptidase N is a receptor for one strain of human coronavirus that is an important cause of upper respiratory tract infections. Defects in this gene appear to be a cause of various types of leukemia or lymphoma.

Application Notes

Optimal dilution of the ANPEP antibody should be determined by the researcher.

Immunogen

A human recombinant partial protein (amino acids D148-S966) was used as the immunogen for the ANPEP antibody.

Storage

After reconstitution, the ANPEP antibody can be stored for up to one month at 4oC. For long-term, aliquot and store at -20oC. Avoid repeated freezing and thawing.

Cross
Bulk Quote Request Form
Name*:
Organization*:
Email*:
Phone Number*:
Catalog No.*:
Comments and Specifics(amount, formulation, etc.)*:
Validation code: Captchapackage Image


Can't read the image? click here to refresh.
    *required field

Your bulk quote request has been submitted successfully!

Please contact us if you have any questions.