- Tel: 858.663.9055
- 
									 Email: info@nsjbio.com Email: info@nsjbio.com
- Tel: 858.663.9055
- Email: info@nsjbio.com
 Email: info@nsjbio.com
Email: info@nsjbio.com
								Related Products
| 
 | 
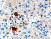
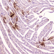
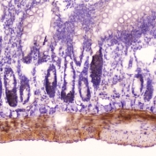
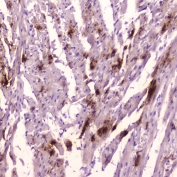
Atrial natriuretic peptide (ANP), also known as NPPA or PND, is a powerful vasodilator, and a protein (polypeptide) hormone secreted by heart muscle cells. This gene is mapped to 1p36.22. It is involved in the homeostatic control of body water, sodium, potassium and fat (adipose tissue). ANP is released by muscle cells in the upper chambers (atria) of the heart (atrial myocytes) in response to high blood volume. It acts to reduce the water, sodium and adipose loads on the circulatory system, thereby reducing blood pressure. ANP has exactly the opposite function of the aldosterone secreted by the zona glomerulosa in regard to its effect on sodium in the kidney--that is, aldosterone stimulates sodium retention and it generates sodium loss.
Optimal dilution of the ANP antibody should be determined by the researcher.
Rat ANP recombinant protein (amino acids N25-R122) was used as the immunogen for the ANP antibody.
After reconstitution, the ANP antibody can be stored for up to one month at 4oC. For long-term, aliquot and store at -20oC. Avoid repeated freezing and thawing.
 
Your bulk quote request has been submitted successfully!
Please contact us if you have any questions.