• Tel: 858.663.9055
  • SeparatorEmail: info@nsjbio.com
  • Tel: 858.663.9055
  • Email: info@nsjbio.com
Home >> Antibodies >> Annexin IV Antibody

Annexin IV Antibody (R32677)

  Catalog No Formulation Size Price (USD)  
Image R32677 0.5mg/ml if reconstituted with 0.2ml sterile DI water 100 ug 439
Bulk quote request
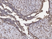
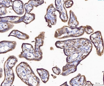
IHC staining of FFPE human placental tissue with Annexin IV antibody. HIER: boil tissue sections in pH8 EDTA for 20 min and allow to cool before testing.
IHC staining of FFPE human breast cancer tissue with Annexin IV antibody. HIER: boil tissue sections in pH8 EDTA for 20 min and allow to cool before testing.
IHC staining of FFPE human colonic adenoma tissue with Annexin IV antibody. HIER: boil tissue sections in pH8 EDTA for 20 min and allow to cool before testing.
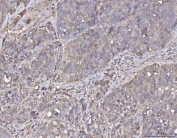
IHC staining of FFPE human liver cancer tissue with Annexin IV antibody. HIER: boil tissue sections in pH8 EDTA for 20 min and allow to cool before testing.
IHC staining of FFPE mouse liver tissue with Annexin IV antibody. HIER: boil tissue sections in pH8 EDTA for 20 min and allow to cool before testing.
IHC staining of FFPE rat liver tissue with Annexin IV antibody. HIER: boil tissue sections in pH8 EDTA for 20 min and allow to cool before testing.
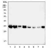
Western blot testing of human 1) HepG2, 2) A549, 3) ThP-1, 4) HACAT, 5) rat stomach, 6) rat lung, 7) mouse stomach and 8) mouse lung tissue lysate with Annexin IV antibody. Predicted molecular weight ~36 kDa.
Flow cytometry testing of human HEL cells with Annexin IV antibody at 1ug/million cells (blocked with goat sera); Red=cells alone, Green=isotype control, Blue= Annexin IV antibody.
Availability 1-3 business days
Species Reactivity Human, Mouse, Rat
Format Antigen affinity purified
Clonality Polyclonal (rabbit origin)
Isotype Rabbit IgG
Purity Antigen affinity
Buffer Lyophilized from 1X PBS with 2% Trehalose
UniProt P09525
Localization Cytoplasm, nucleus, plasma membrane
Applications Western Blot : 0.5-1ug/ml
Immunohistochemistry (FFPE) : 2-5ug/ml
Flow Cytometry : 1-3ug/million cells
Limitations This Annexin IV antibody is available for research use only.
Review this product on BioCompare and get a $20 Amazon gift card

Related Products

  • Applications : WB, IHC-P, FACS, Direct ELISA
    Reactivity : Human, Mouse, Rat

Description

ANXA4 (Annexin A4), also known as ANX4, is a protein that in humans is encoded by the ANXA4 gene. It belongs to the annexin family of calcium-dependent phospholipid binding proteins. By PCR analysis of somatic cell hybrids and in situ hybridization with a cDNA probe, the human ANXA4 gene is mapped to chromosome 2p13. Isolated from human placenta, ANXA4 encodes a protein that has possible interactions with ATP, and has in vitro anticoagulant activity and also inhibits phospholipase A2 activity. And ANXA4 is almost exclusively expressed in epithelial cells.

Application Notes

Optimal dilution of the Annexin IV antibody should be determined by the researcher.

Immunogen

Amino acids 119-152 (EEIRRISQTYQQQYGRSLEDDIRSDTSFMFQRVL) from the human protein were used as the immunogen for the Annexin IV antibody.

Storage

After reconstitution, the Annexin IV antibody can be stored for up to one month at 4oC. For long-term, aliquot and store at -20oC. Avoid repeated freezing and thawing.

Cross
Bulk Quote Request Form
Name*:
Organization*:
Email*:
Phone Number*:
Catalog No.*:
Comments and Specifics(amount, formulation, etc.)*:
Validation code: Captchapackage Image


Can't read the image? click here to refresh.
    *required field

Your bulk quote request has been submitted successfully!

Please contact us if you have any questions.