• Tel: 858.663.9055
  • SeparatorEmail: info@nsjbio.com
  • Tel: 858.663.9055
  • Email: info@nsjbio.com
Home >> Antibodies >> Annexin A3 Antibody

Annexin A3 Antibody (R31948)

  Catalog No Formulation Size Price (USD)  
Image R31948 0.5mg/ml if reconstituted with 0.2ml sterile DI water 100 ug 439
Bulk quote request
Western blot testing of 1) rat spleen, 2) rat stomach, 3) human HeLa, 4) 22RV1, 5) A549, 6) MCF7 and 7) SW620 antibody with Annexin A3 antibody. Predicted/observed molecular weight ~36 kDa.
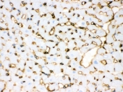
IHC testing of FFPE human breast cancer with Annexin A3 antibody. HIER: Boil the paraffin sections in pH 6, 10mM citrate buffer for 20 minutes and allow to cool prior to staining.
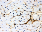
IHC testing of FFPE mouse heart with Annexin A3 antibody. HIER: Boil the paraffin sections in pH 6, 10mM citrate buffer for 20 minutes and allow to cool prior to staining.
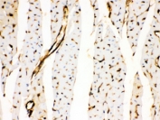
IHC testing of FFPE rat heart with Annexin A3 antibody. HIER: Boil the paraffin sections in pH 6, 10mM citrate buffer for 20 minutes and allow to cool prior to staining.
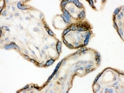
IHC testing of frozen human placenta with Annexin A3 antibody.
IHC testing of frozen mouse heart with Annexin A3 antibody.
IHC testing of frozen rat heart with Annexin A3 antibody.
Availability 1-3 business days
Species Reactivity Human, Mouse, Rat
Format Antigen affinity purified
Clonality Polyclonal (rabbit origin)
Isotype Rabbit IgG
Purity Antigen affinity
Buffer Lyophilized from 1X PBS with 2.5% BSA and 0.025% sodium azide
UniProt P12429
Localization Cytoplasmic, membranous
Applications Western Blot : 0.1-0.5ug/ml
IHC (FFPE) : 0.5-1ug/ml
IHC (Frozen) : 0.5-1ug/ml
ICC (FFPE) : 0.5-1ug/ml
Limitations This Annexin A3 antibody is available for research use only.
Review this product on BioCompare and get a $20 Amazon gift card

Related Products

Description

Annexin A3 is a protein that in humans is encoded by the Annexin A3 gene. The Annexin A3 gene contains 13 exons and spans 58 kb of genomic DNA. The Annexin A3 gene is mapped to 4q21. It is abnormally expressed in fetuses of both IVF and ICSI, which may contribute to the increase risk of birth defects in these ART. This gene encodes a member of the annexin family. Members of this calcium-dependent phospholipid-binding protein family play a role in the regulation of cellular growth and in signal transduction pathways. This protein functions in the inhibition of phospholipase A2 and cleavage of inositol 1,2-cyclic phosphate to form inositol 1-phosphate. This protein may also play a role in anti-coagulation.

Application Notes

Optimal dilution of the Annexin A3 antibody should be determined by the researcher.

Immunogen

Amino acids RKALLTLADGRRDESLKVDEHLAKQDAQILYK of human Annexin A3 were used as the immunogen for the Annexin A3 antibody.

Storage

After reconstitution, the Annexin A3 antibody can be stored for up to one month at 4oC. For long-term, aliquot and store at -20oC. Avoid repeated freezing and thawing.

Cross
Bulk Quote Request Form
Name*:
Organization*:
Email*:
Phone Number*:
Catalog No.*:
Comments and Specifics(amount, formulation, etc.)*:
Validation code: Captchapackage Image


Can't read the image? click here to refresh.
    *required field

Your bulk quote request has been submitted successfully!

Please contact us if you have any questions.