• Tel: 858.663.9055
  • SeparatorEmail: info@nsjbio.com
  • Tel: 858.663.9055
  • Email: info@nsjbio.com
Home >> Antibodies >> Annexin A3 Antibody

Annexin A3 Antibody (R30583)

  Catalog No Formulation Size Price (USD)  
Image R30583 0.5mg/ml if reconstituted with 0.2ml sterile DI water 100 ug 439
Bulk quote request
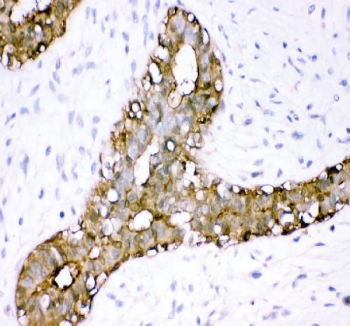
IHC staining of FFPE human breast cancer tissue with Annexin A3 antibody. HIER: boil tissue sections in pH8 EDTA for 20 min and allow to cool before testing.
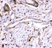
IHC staining of FFPE human intestinal cancer tissue with Annexin A3 antibody. HIER: boil tissue sections in pH8 EDTA for 20 min and allow to cool before testing.
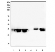
Western blot testing of 1) human Caco-2, 2) human HeLa, 3) human A431, 4) human SH-SY5Y, 5) rat lung and 6) mouse lung tissue lysate with Annexin A3 antibody. Predicted molecular weight ~36 kDa.
Availability 1-3 business days
Species Reactivity Human, Mouse, Rat
Format Antigen affinity purified
Clonality Polyclonal (rabbit origin)
Isotype Rabbit IgG
Purity Antigen affinity
Buffer Lyophilized from 1X PBS with 2.5% BSA and 0.025% sodium azide/thimerosal
UniProt P14669
Localization Cytoplasm, plasma membrane
Applications Western Blot : 0.5-1ug/ml
Immunohistochemistry (FFPE) : 2-5ug/ml
Limitations This Annexin A3 antibody is available for research use only.
Review this product on BioCompare and get a $20 Amazon gift card

Related Products

Description

Annexin A3 is a protein that in humans is encoded by the Annexin A3 gene. The gene contains 13 exons and spans 58 kb of genomic DNA and is mapped to 4q21. It is abnormally expressed in fetuses of both IVF and ICSI, which may contribute to the increase risk of birth defects in these ART. This gene encodes a member of the annexin family. Members of this calcium-dependent phospholipid-binding protein family play a role in the regulation of cellular growth and in signal transduction pathways. This protein functions in the inhibition of phospholipase A2 and cleavage of inositol 1,2-cyclic phosphate to form inositol 1-phosphate. This protein may also play a role in anti-coagulation.

Application Notes

The stated application concentrations are suggested starting amounts. Titration of the Annexin A3 antibody may be required due to differences in protocols and secondary/substrate sensitivity.

Immunogen

An amino acid sequence from the middle region of rat Annexin A3 (RQMKEISQAYYTAYKKNL) was used as the immunogen for this Annexin A3 antibody.

Storage

After reconstitution, the Annexin A3 antibody can be stored for up to one month at 4oC. For long-term, aliquot and store at -20oC. Avoid repeated freezing and thawing.

Cross
Bulk Quote Request Form
Name*:
Organization*:
Email*:
Phone Number*:
Catalog No.*:
Comments and Specifics(amount, formulation, etc.)*:
Validation code: Captchapackage Image


Can't read the image? click here to refresh.
    *required field

Your bulk quote request has been submitted successfully!

Please contact us if you have any questions.