• Tel: 858.663.9055
  • SeparatorEmail: info@nsjbio.com
  • Tel: 858.663.9055
  • Email: info@nsjbio.com
Home >> Antibodies >> Annexin A10 Antibody

Annexin A10 Antibody (R31188)

  Catalog No Formulation Size Price (USD)  
Image R31188 0.5mg/ml if reconstituted with 0.2ml sterile DI water 100 ug 439
Bulk quote request
Western blot testing of Annexin A10 antibody and A549 cell lysate. Predicted molecular weight: ~36kDa.
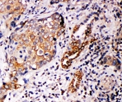
IHC-P: Annexin A10 antibody testing of human lung cancer tissue
Availability 1-3 business days
Species Reactivity Human, Rat
Format Antigen affinity purified
Clonality Polyclonal (rabbit origin)
Isotype Rabbit IgG
Purity Antigen affinity
Buffer Lyophilized from 1X PBS with 2.5% BSA and 0.025% sodium azide/thimerosal
UniProt Q9UJ72
Applications Western Blot : 0.5-1ug/ml
IHC (FFPE) : 0.5-1ug/ml
Limitations This Annexin A10 antibody is available for research use only.
Review this product on BioCompare and get a $20 Amazon gift card

Related Products

  • Applications : IHC, ELISA (peptide)
    Reactivity : Human
    Pred. Reactivity : Cow, Mouse, Rat
  • Applications : WB, IHC-P, FACS, IF, Direct ELISA
    Reactivity : Human

Description

Annexin A10 is a member of the annexin family of calcium-dependent phospholipid-binding proteins. By FISH, Morgan et al.(1999) mapped the ANXA10 gene to chromosome 4q33. Morgan et al.(1999) suggested that the depletion or ablation of principal calcium-binding sites in Annexin A10 and A9, respectively, may dispose them to function in distinct tissue environments where calcium sensitivity is not a major functional determinant.

Application Notes

The stated application concentrations are suggested starting amounts. Titration of the Annexin A10 antibody may be required due to differences in protocols and secondary/substrate sensitivity.

Immunogen

An amino acid sequence from the C-terminus of human Annexin A10 (HYKKALLAICAGDAEDY) was used as the immunogen for this Annexin A10 antibody.

Storage

After reconstitution, the Annexin A10 antibody can be stored for up to one month at 4oC. For long-term, aliquot and store at -20oC. Avoid repeated freezing and thawing.

Cross
Bulk Quote Request Form
Name*:
Organization*:
Email*:
Phone Number*:
Catalog No.*:
Comments and Specifics(amount, formulation, etc.)*:
Validation code: Captchapackage Image


Can't read the image? click here to refresh.
    *required field

Your bulk quote request has been submitted successfully!

Please contact us if you have any questions.