• Tel: 858.663.9055
  • SeparatorEmail: info@nsjbio.com
  • Tel: 858.663.9055
  • Email: info@nsjbio.com
Home >> Antibodies >> Annexin A1 Antibody / Lipocortin-1 / ANXA1

Annexin A1 Antibody / Lipocortin-1 / ANXA1 (FY12739)

  Catalog No Formulation Size Price (USD)  
Image FY12739 Adding 0.2 ml of distilled water will yield a concentration of 500 ug/ml 100 ug 439
Bulk quote request
Western blot analysis of Annexin using anti-Annexin antibody. Lane 1: human whole cell lysates, Lane 2: human Hela whole cell lysates, Lane 3: human K562 whole cell lysates, Lane 4: human NIH/3T3 whole cell lysates. After electrophoresis, proteins were transferred to a nitrocellulose membrane at 150 mA for 50-90 minutes. Blocked the membrane with 5% non-fat milk/TBS for 1.5 hour at RT. The membrane was incubated with rabbit anti-Annexin antibody at 0.5 ug/ml overnight at 4oC, then washed with TBS-0.1%Tween 3 times with 5 minutes each and probed with a goat anti-rabbit IgG-DyLight 647 Conjugated secondary antibody at a dilution of 1:2000 for 1.5 hour at RT. A characteristic doublet is observed near ~38 kDa, corresponding to phosphorylated and unmodified or N-terminally cleaved forms of Annexin A1, as reported in the literature.
Western blot analysis of Annexin using anti-Annexin antibody. Lane 1: human whole cell lysates, Lane 2: human Hela whole cell lysates, Lane 3: human K562 whole cell lysates, Lane 4: rat brain tissue lysates, Lane 5: rat C6 whole cell lysates, Lane 6: mouse brain tissue lysates, Lane 7: mouse NIH/3T3 whole cell lysates. After electrophoresis, proteins were transferred to a nitrocellulose membrane at 150 mA for 50-90 minutes. Blocked the membrane with 5% non-fat milk/TBS for 1.5 hour at RT. The membrane was incubated with rabbit anti-Annexin antibody at 0.5 ug/ml overnight at 4oC, then washed with TBS-0.1%Tween 3 times with 5 minutes each and probed with a goat anti-rabbit IgG-HRP secondary antibody at a dilution of 1:5000 for 1.5 hour at RT. The signal was developed using enhanced chemiluminescent. A characteristic doublet is observed near ~38 kDa, corresponding to phosphorylated and unmodified or N-terminally cleaved forms of Annexin A1, as reported in the literature.
Immunohistochemical staining of Annexin using anti-Annexin antibody. Annexin was detected in a paraffin-embedded section of human bladder cancer tissue. Heat mediated antigen retrieval was performed in EDTA buffer (pH 8.0, epitope retrieval solution). The tissue section was blocked with 10% goat serum. The tissue section was then incubated with 2 ug/ml rabbit anti-Annexin antibody overnight at 4oC. Peroxidase Conjugated Goat Anti-rabbit IgG was used as secondary antibody and incubated for 30 minutes at 37oC. The tissue section was developed using an HRP secondary and DAB substrate.
Immunohistochemical staining of Annexin using anti-Annexin antibody. Annexin was detected in a paraffin-embedded section of human liver cancer tissue. Heat mediated antigen retrieval was performed in EDTA buffer (pH 8.0, epitope retrieval solution). The tissue section was blocked with 10% goat serum. The tissue section was then incubated with 2 ug/ml rabbit anti-Annexin antibody overnight at 4oC. Peroxidase Conjugated Goat Anti-rabbit IgG was used as secondary antibody and incubated for 30 minutes at 37oC. The tissue section was developed using an HRP secondary and DAB substrate.
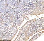
Immunohistochemical staining of Annexin using anti-Annexin antibody. Annexin was detected in a paraffin-embedded section of human non-small cell lung cancer tissue. Heat mediated antigen retrieval was performed in EDTA buffer (pH 8.0, epitope retrieval solution). The tissue section was blocked with 10% goat serum. The tissue section was then incubated with 2 ug/ml rabbit anti-Annexin antibody overnight at 4oC. Peroxidase Conjugated Goat Anti-rabbit IgG was used as secondary antibody and incubated for 30 minutes at 37oC. The tissue section was developed using an HRP secondary and DAB substrate.
Immunohistochemical staining of Annexin using anti-Annexin antibody. Annexin was detected in a paraffin-embedded section of human placenta tissue. Heat mediated antigen retrieval was performed in EDTA buffer (pH 8.0, epitope retrieval solution). The tissue section was blocked with 10% goat serum. The tissue section was then incubated with 2 ug/ml rabbit anti-Annexin antibody overnight at 4oC. Peroxidase Conjugated Goat Anti-rabbit IgG was used as secondary antibody and incubated for 30 minutes at 37oC. The tissue section was developed using an HRP secondary and DAB substrate.
Immunohistochemical staining of Annexin using anti-Annexin antibody. Annexin was detected in a paraffin-embedded section of human testis cancer tissue. Heat mediated antigen retrieval was performed in EDTA buffer (pH 8.0, epitope retrieval solution). The tissue section was blocked with 10% goat serum. The tissue section was then incubated with 2 ug/ml rabbit anti-Annexin antibody overnight at 4oC. Peroxidase Conjugated Goat Anti-rabbit IgG was used as secondary antibody and incubated for 30 minutes at 37oC. The tissue section was developed using an HRP secondary and DAB substrate.
Immunohistochemical staining of Annexin using anti-Annexin antibody. Annexin was detected in a paraffin-embedded section of human tonsil tissue. Heat mediated antigen retrieval was performed in EDTA buffer (pH 8.0, epitope retrieval solution). The tissue section was blocked with 10% goat serum. The tissue section was then incubated with 2 ug/ml rabbit anti-Annexin antibody overnight at 4oC. Peroxidase Conjugated Goat Anti-rabbit IgG was used as secondary antibody and incubated for 30 minutes at 37oC. The tissue section was developed using an HRP secondary and DAB substrate.
Immunohistochemical staining of Annexin using anti-Annexin antibody. Annexin was detected in a paraffin-embedded section of mouse lung tissue. Heat mediated antigen retrieval was performed in EDTA buffer (pH 8.0, epitope retrieval solution). The tissue section was blocked with 10% goat serum. The tissue section was then incubated with 2 ug/ml rabbit anti-Annexin antibody overnight at 4oC. Peroxidase Conjugated Goat Anti-rabbit IgG was used as secondary antibody and incubated for 30 minutes at 37oC. The tissue section was developed using an HRP secondary and DAB substrate.
Immunohistochemical staining of Annexin using anti-Annexin antibody. Annexin was detected in a paraffin-embedded section of rat lung tissue. Heat mediated antigen retrieval was performed in EDTA buffer (pH 8.0, epitope retrieval solution). The tissue section was blocked with 10% goat serum. The tissue section was then incubated with 2 ug/ml rabbit anti-Annexin antibody overnight at 4oC. Peroxidase Conjugated Goat Anti-rabbit IgG was used as secondary antibody and incubated for 30 minutes at 37oC. The tissue section was developed using an HRP secondary and DAB substrate.
Immunofluorescent staining of FFPE human U-2 OS cells with Annexin A1 antibody (green) and DAPI nuclear stain (blue). HIER: steam section in pH6 citrate buffer for 20 min.
Flow cytometry analysis of fixed and permeabilized human A431 cells with Annexin A1 antibody at 1ug/million cells (blocked with goat sera); Red=cells alone, Green=isotype control, Blue= Annexin A1 antibody.
Availability 1-2 days
Species Reactivity Human, Mouse, Rat
Format Lyophilized
Clonality Polyclonal (rabbit origin)
Isotype Rabbit IgG
Purity Immunogen affinity purified
Buffer Each vial contains 4 mg Trehalose, 0.9 mg NaCl, 0.2 mg Na2HPO4.
UniProt P04083
Localization Cytoplasm, nucleus, cell membrane
Applications Western Blot : 0.25-0.5ug/ml
Immunohistochemistry : 2-5ug/ml
Immunocytochemistry : 5ug/ml
Immunofluorescence : 5ug/ml
Flow Cytometry : 1-3ug/million cells
Limitations This Annexin A1 antibody is available for research use only.
Review this product on BioCompare and get a $20 Amazon gift card

Related Products

Description

Annexin A1 antibody detects Annexin A1 (also known as Lipocortin-1 or ANXA1), a calcium-dependent phospholipid-binding protein that mediates anti-inflammatory responses and membrane trafficking. Encoded by the ANXA1 gene on chromosome 9q21.13, this protein belongs to the annexin family characterized by their ability to bind negatively charged phospholipids in a calcium-dependent manner. Annexin A1 contains four annexin repeats and an N-terminal regulatory domain that interacts with phospholipase A2 and formyl peptide receptors. It acts as an effector of glucocorticoid signaling, inhibiting leukocyte transmigration and eicosanoid synthesis to resolve inflammation.

Annexin A1 is expressed in many tissues, especially in neutrophils, macrophages, epithelial cells, and the pituitary gland. Upon glucocorticoid stimulation, it translocates to the plasma membrane and is secreted into the extracellular space, where it binds formyl peptide receptor 2 (FPR2/ALX) on immune cells to inhibit migration and cytokine production. The protein also promotes efferocytosis and tissue repair during inflammation resolution. Dysregulation of Annexin A1 contributes to chronic inflammatory diseases, sepsis, and cancer progression.

The Annexin A1 antibody is widely used in immunology, endocrinology, and cancer research to study anti-inflammatory signaling, glucocorticoid response, and cell migration. Western blot analysis typically identifies a 37 kilodalton band corresponding to Annexin A1, while immunohistochemistry reveals cytoplasmic and membrane localization in activated leukocytes and epithelial cells. The antibody is also useful in identifying corticosteroid-mediated gene induction and verifying downstream targets of FPR2 signaling.

In cancer biology, Annexin A1 can act as a context-dependent modulator of tumor invasion and metastasis. It regulates cytoskeletal remodeling, apoptosis, and vesicle trafficking, influencing tumor cell motility. The Annexin A1 antibody helps delineate these pathways by enabling accurate detection in tumor and immune microenvironment studies. NSJ Bioreagents provides this antibody validated for its applications to ensure consistent detection across tissue types.

Application Notes

Optimal dilution of the Annexin A1 antibody should be determined by the researcher.

Immunogen

A synthetic peptide corresponding to a sequence in the middle region of human ANXA1 was used as the immunogen for the Annexin A1 antibody.

Storage

After reconstitution, the Annexin A1 antibody can be stored for up to one month at 4oC. For long-term, aliquot and store at -20oC. Avoid repeated freezing and thawing.

Cross
Bulk Quote Request Form
Name*:
Organization*:
Email*:
Phone Number*:
Catalog No.*:
Comments and Specifics(amount, formulation, etc.)*:
Validation code: Captchapackage Image


Can't read the image? click here to refresh.
    *required field

Your bulk quote request has been submitted successfully!

Please contact us if you have any questions.