- Tel: 858.663.9055
- 
									 Email: info@nsjbio.com Email: info@nsjbio.com
- Tel: 858.663.9055
- Email: info@nsjbio.com
 Email: info@nsjbio.com
Email: info@nsjbio.com
								Related Products
| 
 | 
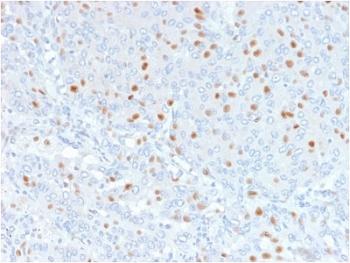
The ANXA1 gene belongs to the annexin family, and contains 4 annexin repeats. A pair of annexin repeats may form one binding site for calcium and a phospholipid. ANXA1 promotes membrane fusion and is involved in exocytosis. The gene for ANXA1 is upregulated in hairy cell leukemia (HCL), and its protein expression is specific for HCL. Detection of ANXA1 provides a simple, highly sensitive and specific assay for diagnosing HCL. Annexin A1 has also been found to be protective against DNA damage induced by heat in breast cancer cells, suggesting it is involved in tumor suppressive and protective activities, and also is associated with treatment resistance.
Optimal dilution of the Annexin A1 antibody to be determined by the researcher.
1. The prediluted format is supplied in a dropper bottle and is optimized for use in IHC. After epitope retrieval step (if required), drip mAb solution onto the tissue section and incubate at RT for 30 min.
Recombinant human full-length protein was used as the immunogen for the Annexin A1 antibody.
Store the Annexin A1 antibody at 2-8oC (with azide) or aliquot and store at -20oC or colder (without azide).
 
Your bulk quote request has been submitted successfully!
Please contact us if you have any questions.