• Tel: 858.663.9055
  • SeparatorEmail: info@nsjbio.com
  • Tel: 858.663.9055
  • Email: info@nsjbio.com
Home >> Antibodies >> ANKK1 Antibody

ANKK1 Antibody (R36052)

  Catalog No Formulation Size Price (USD)  
Image R36052-100UG 0.5 mg/ml in 1X TBS, pH7.3, with 0.5% BSA (US sourced) and 0.02% sodium azide 100 ug 449
Bulk quote request
Western blot testing of human substantia nigra lysate with ANKK1 antibody at 0.1ug/ml. Predicted molecular weight: ~85 kDa. Both observed bands are blocked by addition of immunizing peptide.
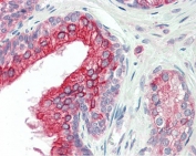
IHC testing of FFPE human prostate tissue with ANKK1 antibody at 5ug/ml. Required HIER: steamed antigen retrieval with pH6 citrate buffer; AP-staining.
Availability 1-3 business days
Species Reactivity Human
Format Antigen affinity purified
Clonality Polyclonal (goat origin)
Isotype Goat Ig
Purity Antigen affinity
Gene ID 255239
Applications Western Blot : 0.1-0.3ug/ml
IHC (FFPE) : 5ug/ml
ELISA (peptide) LOD : 1:128000
Limitations This ANKK1 antibody is available for research use only.
Review this product on BioCompare and get a $20 Amazon gift card

Description

Additional name(s) for this target protein: Ankyrin repeat and kinase domain containing 1

Application Notes

Optimal dilution of the ANKK1 antibody should be determined by the researcher.

Immunogen

Amino acids SRQADPNLHEAEGKT were used as the immunogen for this ANKK1 antibody.

Storage

Aliquot and store the ANKK1 antibody at -20oC.

Cross
Bulk Quote Request Form
Name*:
Organization*:
Email*:
Phone Number*:
Catalog No.*:
Comments and Specifics(amount, formulation, etc.)*:
Validation code: Captchapackage Image


Can't read the image? click here to refresh.
    *required field

Your bulk quote request has been submitted successfully!

Please contact us if you have any questions.