• Tel: 858.663.9055
  • SeparatorEmail: info@nsjbio.com
  • Tel: 858.663.9055
  • Email: info@nsjbio.com
Home >> Antibodies >> ANGPTL4 Antibody

ANGPTL4 Antibody (F51590)

  Catalog No Formulation Size Price (USD)  
Image F51590-0.4ML In 1X PBS, pH 7.4, with 0.09% sodium azide 0.4 ml 429
Image
F51590-0.08ML In 1X PBS, pH 7.4, with 0.09% sodium azide 0.08 ml 199
Bulk quote request
Western blot analysis of ANGPTL4 antibody and mouse liver tissue lysate. Predicted molecular weight: ~45 kDa and ~41 kDa, but may be observed at higher molecular weights due to glycosylation.
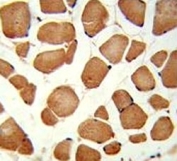
IHC analysis of FFPE human skeletal muscle stained with ANGPTL4 antibody
ANGPTL4 antibody flow cytometric analysis of HepG2 cells (green) compared to a negative control (blue). FITC-conjugated goat-anti-rabbit secondary Ab was used for the analysis.
Availability 1-3 business days
Species Reactivity Human, Mouse
Format Purified
Clonality Polyclonal (rabbit origin)
Isotype Rabbit Ig
Purity Purified
UniProt Q9BY76
Applications Western Blot : 1:1000
IHC (Paraffin) : 1:50-1:100
Flow Cytometry : 1:10-1:50
Limitations This ANGPTL4 antibody is available for research use only.
Review this product on BioCompare and get a $20 Amazon gift card

Related Products

Description

ANGPTL4 is a member of the angiopoietin/angiopoietin-like gene family and encodes a glycosylated, secreted protein with a fibrinogen C-terminal domain. This protein is induced under hypoxic conditions in endothelial cells and is the target of peroxisome proliferation activators. The encoded protein is a serum hormone directly involved in regulating glucose homeostasis, lipid metabolism, and insulin sensitivity and also acts as an apoptosis survival factor for vascular endothelial cells. The encoded protein may play a role in several cancers and it also has been shown to prevent the metastatic process by inhibiting vascular activity as well as tumor cell motility and invasiveness. Decreased expression of this protein has been associated with type 2 diabetes.

Application Notes

Titration of the ANGPTL4 antibody may be required due to differences in protocols and secondary/substrate sensitivity.

Immunogen

A portion of amino acids 138-167 from the human protein was used as the immunogen for this ANGPTL4 antibody.

Storage

Aliquot the ANGPTL4 antibody and store frozen at -20oC or colder. Avoid repeated freeze-thaw cycles.

Cross
Bulk Quote Request Form
Name*:
Organization*:
Email*:
Phone Number*:
Catalog No.*:
Comments and Specifics(amount, formulation, etc.)*:
Validation code: Captchapackage Image


Can't read the image? click here to refresh.
    *required field

Your bulk quote request has been submitted successfully!

Please contact us if you have any questions.