• Tel: 858.663.9055
  • SeparatorEmail: info@nsjbio.com
  • Tel: 858.663.9055
  • Email: info@nsjbio.com
Home >> Antibodies >> ANGPTL2 Antibody

ANGPTL2 Antibody (R32799)

  Catalog No Formulation Size Price (USD)  
Image R32799 0.5mg/ml if reconstituted with 0.2ml sterile DI water 100 ug 439
Bulk quote request
Western blot testing of 1) rat stomach and 2) mouse ovary lysate with ANGPTL2 antibody at 0.5ug/ml. Predicted molecular weight ~57 kDa.
IHC testing of FFPE human intestinal cancer tissue with ANGPTL2 antibody at 1ug/ml. Required HIER: steam section in pH6 citrate buffer for 20 min and allow to cool prior to testing.
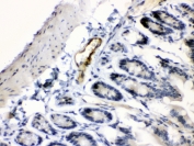
IHC testing of FFPE mouse intestine tissue with ANGPTL2 antibody at 1ug/ml. Required HIER: steam section in pH6 citrate buffer for 20 min and allow to cool prior to testing.
IHC testing of FFPE rat intestine tissue with ANGPTL2 antibody at 1ug/ml. Required HIER: steam section in pH6 citrate buffer for 20 min and allow to cool prior to testing.
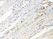
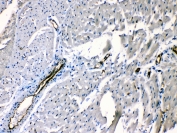
IHC testing of FFPE rat heart tissue with ANGPTL2 antibody at 1ug/ml. Required HIER: steam section in pH6 citrate buffer for 20 min and allow to cool prior to testing.
Availability 1-3 business days
Species Reactivity Human, Mouse, Rat
Format Antigen affinity purified
Clonality Polyclonal (rabbit origin)
Isotype Rabbit IgG
Purity Antigen affinity
Buffer Lyophilized from 1X PBS with 2.5% BSA, 0.025% sodium azide
UniProt Q9UKU9
Localization Cytoplasmic, secreted
Applications Western Blot : 0.5-1ug/ml
IHC (FFPE) : 1-2ug/ml
Limitations This ANGPTL2 antibody is available for research use only.
Review this product on BioCompare and get a $20 Amazon gift card

Description

Angiopoietin-related protein 2, also known as Angiopoietin-like protein 2, is a protein that in humans is encoded by the ANGPTL2 gene. Angiopoietins are members of the vascular endothelial growth factor family and the only known growth factors largely specific for vascular endothelium. Angiopoietin-1, angiopoietin-2, and angiopoietin-4 participate in the formation of blood vessels. ANGPTL2 protein is a secreted glycoprotein with homology to the angiopoietins and may exert a function on endothelial cells through autocrine or paracrine action.

Application Notes

Optimal dilution of the ANGPTL2 antibody should be determined by the researcher.

Immunogen

Amino acids 275-312 (WRDCLQALEDGHDTSSIYLVKPENTNRLMQVWCDQRHD) from the human protein were used as the immunogen for the ANGPTL2 antibody.

Storage

After reconstitution, the ANGPTL2 antibody can be stored for up to one month at 4oC. For long-term, aliquot and store at -20oC. Avoid repeated freezing and thawing.

Cross
Bulk Quote Request Form
Name*:
Organization*:
Email*:
Phone Number*:
Catalog No.*:
Comments and Specifics(amount, formulation, etc.)*:
Validation code: Captchapackage Image


Can't read the image? click here to refresh.
    *required field

Your bulk quote request has been submitted successfully!

Please contact us if you have any questions.