• Tel: 858.663.9055
  • SeparatorEmail: info@nsjbio.com
  • Tel: 858.663.9055
  • Email: info@nsjbio.com
Home >> Antibodies >> Angiopoietin-like 4 Antibody / ANGPTL4

Angiopoietin-like 4 Antibody / ANGPTL4 (RQ7301)

  Catalog No Formulation Size Price (USD)  
Image RQ7301 0.5mg/ml if reconstituted with 0.2ml sterile DI water 100 ug 439
Bulk quote request
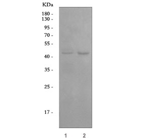
Western blot testing of human 1) HeLa and 2) A549 cell lysate with Angiopoietin-like 4 antibody. Predicted molecular weight: ~45 kDa and ~41 kDa, but may be observed at higher molecular weights due to glycosylation.
Availability 1-3 business days
Species Reactivity Human
Format Antigen affinity purified
Clonality Polyclonal (rabbit origin)
Isotype Rabbit IgG
Purity Antigen affinity purified
Buffer Lyophilized from 1X PBS with 2% Trehalose
UniProt Q9BY76
Applications Western Blot : 0.5-1ug/ml
Limitations This Angiopoietin-like 4 antibody is available for research use only.
Review this product on BioCompare and get a $20 Amazon gift card

Related Products

Description

Angiopoietin-related protein 4 (Angptl4) is a protein that in humans is encoded by the ANGPTL4 gene. This gene is a member of the angiopoietin/angiopoietin-like gene family and encodes a glycosylated, secreted protein with a fibrinogen C-terminal domain. And this gene is induced under hypoxic conditions in endothelial cells and is the target of peroxisome proliferation activators. By radiation hybrid analysis, Angptl4 gene is mapped to 19p13.3. ANGPTL4 contributed to tumor growth and protected cells from anoikis, a form of programmed cell death induced when contact-dependent cells detach from the surrounding tissue matrix.

Application Notes

Optimal dilution of the Angiopoietin-like 4 antibody should be determined by the researcher.

Immunogen

Amino acids WWFGTCSHSNLNGQYFRSI were used as the immunogen for the Angiopoietin-like 4 antibody.

Storage

After reconstitution, the Angiopoietin-like 4 antibody can be stored for up to one month at 4oC. For long-term, aliquot and store at -20oC. Avoid repeated freezing and thawing.

Cross
Bulk Quote Request Form
Name*:
Organization*:
Email*:
Phone Number*:
Catalog No.*:
Comments and Specifics(amount, formulation, etc.)*:
Validation code: Captchapackage Image


Can't read the image? click here to refresh.
    *required field

Your bulk quote request has been submitted successfully!

Please contact us if you have any questions.