• Tel: 858.663.9055
  • SeparatorEmail: info@nsjbio.com
  • Tel: 858.663.9055
  • Email: info@nsjbio.com
Home >> Antibodies >> Angiogenin Antibody

Angiogenin Antibody (R32581)

  Catalog No Formulation Size Price (USD)  
Image R32581 0.5mg/ml if reconstituted with 0.2ml sterile DI water 100 ug 439
Bulk quote request
Immunofluorescent staining of FFPE human U-2 OS cells with Angiogenin antibody (green) and DAPI nuclear stain (blue). HIER: steam section in pH6 citrate buffer for 20 min.
IHC staining of FFPE human lung cancer tissue with Angiogenin antibody. HIER: boil tissue sections in pH8 EDTA for 20 min and allow to cool before testing.
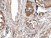
IHC staining of FFPE human hepatocellular carcinoma tissue with Angiogenin antibody. HIER: boil tissue sections in pH8 EDTA for 20 min and allow to cool before testing.
Western blot testing of human HCCT cell lysate with Angiogenin antibody. Predicted molecular weight ~17 kDa.
Flow cytometry testing of fixed and permeabilized human HepG2 cells with Angiogenin antibody at 1ug/million cells (blocked with goat sera); Red=cells alone, Green=isotype control, Blue= Angiogenin antibody.
Availability 1-3 business days
Species Reactivity Human
Format Antigen affinity purified
Clonality Polyclonal (rabbit origin)
Isotype Rabbit IgG
Purity Antigen affinity
Buffer Lyophilized from 1X PBS with 2% Trehalose
UniProt P03950
Localization Cytoplasmic, nuclear, secreted
Applications Western Blot : 0.5-1ug/ml
Immunohistochemistry (FFPE) : 2-5ug/ml
Immunofluorescence : 5ug/ml
Flow Cytometry : 1-3ug/million cells
ELISA : 0.1-0.5ug/ml (human protein tested); request BSA-free format for coating
Limitations This Angiogenin antibody is available for research use only.
Review this product on BioCompare and get a $20 Amazon gift card

Related Products

  • Applications : WB, Direct ELISA
    Reactivity : Rat

Description

Angiogenin (ANG1), also known as Ribonuclease 5, is a small 123 amino acid protein that in humans is encoded by the ANG gene. The protein encoded by this gene is an exceedingly potent mediator of new blood vessel formation. It hydrolyzes cellular tRNAs resulting in decreased protein synthesis and is similar to pancreatic ribonuclease. In addition, the mature peptide has antimicrobial activity against some bacteria and fungi, including S. pneumoniae and C. albicans. Alternative splicing results in two transcript variants encoding the same protein. This gene and the gene that encodes ribonuclease, RNase A family, 4 share promoters and 5' exons. Each gene splices to a unique downstream exon that contains its complete coding region.

Application Notes

Optimal dilution of the Angiogenin antibody should be determined by the researcher.

Immunogen

A human recombinant protein corresponding to amino acids Q25-P147 was used as the immunogen for the Angiogenin antibody.

Storage

After reconstitution, the Angiogenin antibody can be stored for up to one month at 4oC. For long-term, aliquot and store at -20oC. Avoid repeated freezing and thawing.

Cross
Bulk Quote Request Form
Name*:
Organization*:
Email*:
Phone Number*:
Catalog No.*:
Comments and Specifics(amount, formulation, etc.)*:
Validation code: Captchapackage Image


Can't read the image? click here to refresh.
    *required field

Your bulk quote request has been submitted successfully!

Please contact us if you have any questions.