• Tel: 858.663.9055
  • SeparatorEmail: info@nsjbio.com
  • Tel: 858.663.9055
  • Email: info@nsjbio.com
Home >> Antibodies >> ANAPC2 Antibody / APC2

ANAPC2 Antibody / APC2 (RQ6162)

  Catalog No Formulation Size Price (USD)  
Image RQ6162 0.5mg/ml if reconstituted with 0.2ml sterile DI water 100 ug 439
Bulk quote request
Immunofluorescent staining of FFPE human A431 cells with ANAPC2 antibody (green) and DAPI nuclear stain (blue). HIER: steam section in pH6 citrate buffer for 20 min.
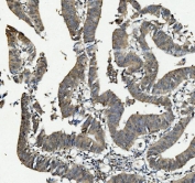
IHC staining of FFPE human rectal cancer with ANAPC2 antibody. HIER: boil tissue sections in pH8 EDTA for 20 min and allow to cool before testing.
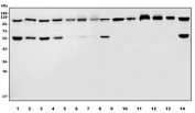
Western blot testing of 1) human HEK293, 2) human Jurkat, 3) human HepG2, 4) human HeLa, 5) monkey COS-7, 6) human A549, 7) human PC-3, 8) rat stomach, 9) rat testis, 10) rat lung, 11) rat PC-12, 12) mouse stomach, 13) mouse lung and 14) mouse RAW264.7 lysate with ANAPC2 antibody. N-terminal ANAPC2 antibodies generally show three bands above 200 kDa and may show three degradation or splice variant forms at ~121, 81 and 51 kDa (Ref. 1).
Flow cytometry testing of human ThP-1 cells with ANAPC2 antibody at 1ug/million cells (blocked with goat sera); Red=cells alone, Green=isotype control, Blue= ANAPC2 antibody.
Availability 1-3 business days
Species Reactivity Human, Mouse, Rat
Format Antigen affinity purified
Clonality Polyclonal (rabbit origin)
Isotype Rabbit IgG
Purity Affinity purified
Buffer Lyophilized from 1X PBS with 2% Trehalose
UniProt Q9UJX6
Applications Western Blot : 1-2ug/ml
Immunohistochemistry (FFPE) : 2-5ug/ml
Immunofluorescence : 5ug/ml
Flow Cytometry : 1-3ug/million cells
Direct ELISA : 0.1-0.5ug/ml
Limitations This ANAPC2 antibody is available for research use only.
Review this product on BioCompare and get a $20 Amazon gift card

Related Products

  • Applications : WB
    Reactivity : Human

Description

Anaphase-promoting complex subunit 2 is an enzyme that in humans is encoded by the ANAPC2 gene. A large protein complex, termed the anaphase-promoting complex (APC), or the cyclosome, promotes metaphase-anaphase transition by ubiquitinating its specific substrates such as mitotic cyclins and anaphase inhibitor, which are subsequently degraded by the 26S proteasome. Biochemical studies have shown that the vertebrate APC contains eight subunits. The composition of the APC is highly conserved in organisms from yeast to humans. The product of this gene is a component of the complex and shares sequence similarity with a recently identified family of proteins called cullins, which may also be involved in ubiquitin-mediated degradation.

Application Notes

Optimal dilution of the ANAPC2 antibody should be determined by the researcher.

Immunogen

A human recombinant partial protein (amino acids K51-R272) was used as the immunogen for the ANAPC2 antibody.

Storage

After reconstitution, the ANAPC2 antibody can be stored for up to one month at 4oC. For long-term, aliquot and store at -20oC. Avoid repeated freezing and thawing.

Cross
Bulk Quote Request Form
Name*:
Organization*:
Email*:
Phone Number*:
Catalog No.*:
Comments and Specifics(amount, formulation, etc.)*:
Validation code: Captchapackage Image


Can't read the image? click here to refresh.
    *required field

Your bulk quote request has been submitted successfully!

Please contact us if you have any questions.