• Tel: 858.663.9055
  • SeparatorEmail: info@nsjbio.com
  • Tel: 858.663.9055
  • Email: info@nsjbio.com
Home >> Antibodies >> AMH Antibody / Anti-Muellerian Hormone / MIF

AMH Antibody / Anti-Muellerian Hormone / MIF (F52011)

  Catalog No Formulation Size Price (USD)  
Image F52011-0.2ML In 1X PBS, pH 7.4, with 0.09% sodium azide 0.2 ml 429
Image
F52011-0.05ML In 1X PBS, pH 7.4, with 0.09% sodium azide 0.05 ml 199
Bulk quote request
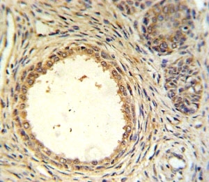
AMH antibody IHC analysis in formalin fixed and paraffin embedded prostate carcinoma.
Western blot analysis of AMH antibody and 293 lysate. Predicted molecular weight ~60 kDa. Glycosylated homodimer seen ~ 140 kDa.
Western blot analysis of AMH antibody and mouse liver tissue lysate. Predicted molecular weight ~60 kDa. Glycosylated homodimer seen ~ 140 kDa.
AMH antibody flow cytometric analysis of 293 cells (green) compared to a negative control (blue). FITC-conjugated goat-anti-rabbit secondary Ab was used for the analysis.
IHC staining of FFPE human cerebellum with AMH antibody. HIER: boil tissue sections in pH6, 10mM citrate buffer, for 20 min and allow to cool before testing.
Western blot testing of human 1) cerebellum, 2) HeLa, 3) HepG2, 4) SH-SY5Y and 5) U-87 MG lysate with AMH antibody. Predicted molecular weight ~60 kDa. Glycosylated homodimer seen ~ 140 kDa.
Availability 1-3 business days
Species Reactivity Human, Mouse
Format Antigen affinity purified
Clonality Polyclonal (rabbit origin)
Isotype Rabbit Ig
Purity Antigen affinity
UniProt P03971
Applications Western Blot : 1:1000
IHC (Paraffin) : 1:10-1:50
Flow Cytometry : 1:10-1:50
Limitations This AMH antibody is available for research use only.
Review this product on BioCompare and get a $20 Amazon gift card

Related Products

Description

Anti Mullerian hormone (AMH), also called Muellerian inhibiting factor (MIF), and Muellerian-inhibiting substance (MIS) is a member of the TGF beta superfamily. Originally classified as a foetal testicular hormone that inhibits Mullerian duct development, AMH is expressed post natally by immature Sertoli cells, and to a lesser degree by granulosa cells. AMH plays a role in testicular differentiation and in the regulation of ovarian follicle growth.

Application Notes

Titration of the AMH antibody may be required due to differences in protocols and secondary/substrate sensitivity.

Immunogen

A portion of amino acids 424-451 from the human protein was used as the immunogen for this AMH antibody.

Storage

Aliquot the AMH antibody and store frozen at -20oC or colder. Avoid repeated freeze-thaw cycles.

Cross
Bulk Quote Request Form
Name*:
Organization*:
Email*:
Phone Number*:
Catalog No.*:
Comments and Specifics(amount, formulation, etc.)*:
Validation code: Captchapackage Image


Can't read the image? click here to refresh.
    *required field

Your bulk quote request has been submitted successfully!

Please contact us if you have any questions.