• Tel: 858.663.9055
  • SeparatorEmail: info@nsjbio.com
  • Tel: 858.663.9055
  • Email: info@nsjbio.com
Home >> Antibodies >> AMD1 Antibody / S-adenosylmethionine decarboxylase

AMD1 Antibody / S-adenosylmethionine decarboxylase (R32969)

  Catalog No Formulation Size Price (USD)  
Image R32969 0.5mg/ml if reconstituted with 0.2ml sterile DI water 100 ug 439
Bulk quote request
IHC testing of FFPE human lung cancer tissue with AMD1 antibody at 1ug/ml. Required HIER: steam section in pH6 citrate buffer for 20 min and allow to cool prior to testing.
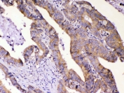
IHC testing of FFPE human breast cancer tissue with AMD1 antibody at 1ug/ml. Required HIER: steam section in pH6 citrate buffer for 20 min and allow to cool prior to testing.
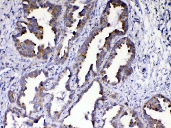
IHC testing of FFPE human intestinal cancer tissue with AMD1 antibody at 1ug/ml. Required HIER: steam section in pH6 citrate buffer for 20 min and allow to cool prior to testing.
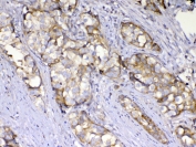
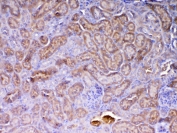
IHC testing of FFPE mouse kidney tissue with AMD1 antibody at 1ug/ml. Required HIER: steam section in pH6 citrate buffer for 20 min and allow to cool prior to testing.
IHC testing of FFPE rat kidney tissue with AMD1 antibody at 1ug/ml. Required HIER: steam section in pH6 citrate buffer for 20 min and allow to cool prior to testing.
Western blot testing of human 22RV1 cell lysate with AMD1 antibody at 0.5ug/ml. Predicted molecular weight ~38 kDa.
Availability 1-3 business days
Species Reactivity Human, Mouse, Rat
Format Antigen affinity purified
Clonality Polyclonal (rabbit origin)
Isotype Rabbit IgG
Purity Antigen affinity
Buffer Lyophilized from 1X PBS with 2.5% BSA, 0.025% sodium azide
UniProt P17707
Localization Cytoplasmic
Applications Western Blot : 0.5-1ug/ml
IHC (FFPE) : 1-2ug/ml
Limitations This AMD1 antibody is available for research use only.
Review this product on BioCompare and get a $20 Amazon gift card

Description

S-adenosylmethionine decarboxylase (AdoMet-DC), also known as S-adenosylmethionine decarboxylase proenzyme (SAMDC) or AMD1, is a key enzyme in polyamine biosynthesis. It is localized to chromosome region 6q21-q22. SAMDC has an unusual distribution in polysomes from cells of T lymphocyte origin. It associates predominantly with monosomes and small polysomes with none located in the preribosomal or ribonucleoprotein pool. SAMDC is a critical regulatory enzyme of the polyamine synthetic pathway, and a well-studied drug target. Since SAMDC is a key regulatory enzyme in the synthesis of spermidine and spermine, the marked increase in SAMDC activity in the neonate and the sustained high enzyme levels throughout adulthood, imply a role for these polyamines in both development and mature brain function.

Application Notes

Optimal dilution of the AMD1 antibody should be determined by the researcher.

Immunogen

Amino acids RKNFMKPSHQGYPHRNFQEEIEFLNA were used as the immunogen for the AMD1 antibody.

Storage

After reconstitution, the AMD1 antibody can be stored for up to one month at 4oC. For long-term, aliquot and store at -20oC. Avoid repeated freezing and thawing.

Cross
Bulk Quote Request Form
Name*:
Organization*:
Email*:
Phone Number*:
Catalog No.*:
Comments and Specifics(amount, formulation, etc.)*:
Validation code: Captchapackage Image


Can't read the image? click here to refresh.
    *required field

Your bulk quote request has been submitted successfully!

Please contact us if you have any questions.