• Tel: 858.663.9055
  • SeparatorEmail: info@nsjbio.com
  • Tel: 858.663.9055
  • Email: info@nsjbio.com
Home >> Antibodies >> ALPL Antibody / Tissue-nonspecific Alkaline Phosphatase

ALPL Antibody / Tissue-nonspecific Alkaline Phosphatase (RQ5701)

  Catalog No Formulation Size Price (USD)  
Image RQ5701 0.5mg/ml if reconstituted with 0.2ml sterile DI water 100 ug 439
Bulk quote request
Immunofluorescent staining of FFPE human A431 cells with ALPL antibody (green) and DAPI nuclear stain (blue). HIER: steam section in pH6 citrate buffer for 20 min.
IHC staining of FFPE human lung cancer with ALPL antibody. HIER: boil tissue sections in pH8 EDTA for 20 min and allow to cool before testing.
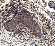
IHC staining of FFPE human rectal cancer with ALPL antibody. HIER: boil tissue sections in pH8 EDTA for 20 min and allow to cool before testing.
IHC staining of FFPE rat brain with ALPL antibody. HIER: boil tissue sections in pH8 EDTA for 20 min and allow to cool before testing.
Western blot testing of human HEK293 lysate with ALPL antibody. Predicted molecular weight ~57 kDa, but can be observed at up to ~75 kDa due to glycosylation.
Flow cytometry testing of human HepG2 cells with ALPL antibody at 1ug/million cells (blocked with goat sera); Red=cells alone, Green=isotype control, Blue= ALPL antibody.
Availability 1-3 business days
Species Reactivity Human, Mouse, Rat
Format Antigen affinity purified
Clonality Polyclonal
Isotype Rabbit IgG
Purity Affinity purified
Buffer Lyophilized from 1X PBS with 2% Trehalose and 0.025% sodium azide
UniProt P05186
Applications Western Blot : 0.5-1ug/ml
Immunohistochemistry : 1-2ug/ml
Immunofluorescence : 2-4ug/ml
Flow Cytometry : 1-3ug/million cells
Limitations This ALPL antibody is available for research use only.
Review this product on BioCompare and get a $20 Amazon gift card

Related Products

Description

Alkaline phosphatase (ALPL) removes phosphate groups from the 5' end of DNA and RNA, and from proteins, at high pH. Most mammals have 4 different isozymes: placental, placental like, intestinal and non tissue specific (found in liver, kidney and bone). Tissues with particularly high concentrations of ALP include the liver, bile ducts, placenta, and bone. ALPL is the alkaline phosphatase of skin fibroblasts, the tissue-nonspecific type, and that it is active toward millimolar concentrations of the putative natural substrates phosphoethanolamine (PEA) and pyridoxal-5-prime-phosphate (PLP). ALPL gene exists in single copy in the haploid genome and is composed of 12 exons distributed over more than 50 kb. Damaged or diseased tissue releases enzymes into the blood, so serum ALP measurements can be abnormal in many conditions, including bone disease and liver disease.

Application Notes

Optimal dilution of the ALPL antibody should be determined by the researcher.

Immunogen

Amino acids KDPKYWRDQAQETLKYALELQ from the human protein were used as the immunogen for the ALPL antibody.

Storage

After reconstitution, the ALPL antibody can be stored for up to one month at 4oC. For long-term, aliquot and store at -20oC. Avoid repeated freezing and thawing.

Cross
Bulk Quote Request Form
Name*:
Organization*:
Email*:
Phone Number*:
Catalog No.*:
Comments and Specifics(amount, formulation, etc.)*:
Validation code: Captchapackage Image


Can't read the image? click here to refresh.
    *required field

Your bulk quote request has been submitted successfully!

Please contact us if you have any questions.