• Tel: 858.663.9055
  • SeparatorEmail: info@nsjbio.com
  • Tel: 858.663.9055
  • Email: info@nsjbio.com
Home >> Antibodies >> Alpha Internexin Antibody / INA / Neurofilament-66

Alpha Internexin Antibody / INA / Neurofilament-66 (R32440)

  Catalog No Formulation Size Price (USD)  
Image R32440 0.5mg/ml if reconstituted with 0.2ml sterile DI water 100 ug 439
Bulk quote request
Immunofluorescent staining of FFPE mouse brain tissue with Alpha Internexin antibody (green) and DAPI nuclear stain (blue). HIER: steam section in pH8 EDTA buffer for 20 min.
Immunofluorescent staining of FFPE rat brain tissue with Alpha Internexin antibody (green) and DAPI nuclear stain (blue). HIER: steam section in pH8 EDTA buffer for 20 min.
Immunofluorescent staining of FFPE human A549 cells with Alpha Internexin antibody (red) and DAPI nuclear stain (blue). HIER: steam section in pH6 citrate buffer for 20 min.
IHC staining of FFPE rat brain tissue with Alpha Internexin antibody. HIER: boil tissue sections in pH8 EDTA for 20 min and allow to cool before testing.
IHC staining of FFPE rat brain tissue with Alpha Internexin antibody. HIER: boil tissue sections in pH8 EDTA for 20 min and allow to cool before testing.
IHC staining of FFPE mouse brain tissue with Alpha Internexin antibody. HIER: boil tissue sections in pH8 EDTA for 20 min and allow to cool before testing.
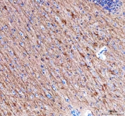
IHC staining of FFPE human glioma tissue with Alpha Internexin antibody. HIER: boil tissue sections in pH8 EDTA for 20 min and allow to cool before testing.
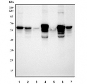
Western blot testing of 1) human SH-SY5Y, 2) human A549, 3) human HeLa, 4) rat brain, 5) rat C6, 6) mouse brain and 7) mouse Neuro-2a cell lysate with Alpha Internexin antibody. Predicted molecular weight ~55 kDa but routinely observed at ~66 kDa.
Flow cytometry testing of fixed and permeabilized human SiHa cells with Alpha Internexin antibody at 1ug/million cells (blocked with goat sera); Red=cells alone, Green=isotype control, Blue= Alpha Internexin antibody.
Availability 1-3 business days
Species Reactivity Human, Mouse, Rat
Format Antigen affinity purified
Clonality Polyclonal (rabbit origin)
Isotype Rabbit IgG
Purity Antigen affinity
Buffer Lyophilized from 1X PBS with 2% Trehalose
UniProt Q16352
Localization Cytoplasm, neurofilament
Applications Western Blot : 0.5-1ug/ml
Immunohistochemistry (FFPE) : 2-5ug/ml
Immunofluorescence : 5ug/ml
Flow Cytometry : 1-3ug/million cells
Limitations This Alpha Internexin antibody is available for research use only.
Review this product on BioCompare and get a $20 Amazon gift card

Related Products

Description

Alpha-Internexin (INA; also NF-66) is a 66 kDa member of the intermediate filament (IF) protein family. The protein was originally purified from rat optic nerve and spinal cord. And the protein copurifies with other neurofilament subunits, as it was originally discovered, however in some mature neurons it can be the only neurofilament expressed. The protein is present in developing neuroblasts and in the Central Nervous System of adults. Meanwhile, the protein is a major component of the intermediate filament network in small interneurons and cerebellar granule cells, where it is present in the parallel fibers.

Application Notes

Optimal dilution of the Alpha Internexin antibody should be determined by the researcher.

Immunogen

Amino acids A71-R161 were used as the immunogen for the Alpha Internexin antibody.

Storage

Prior to reconstitution, store at 4oC. After reconstitution, the Alpha Internexin antibody can be stored for up to one month at 4oC. For long-term, aliquot and store at -20oC. Avoid repeated freezing and thawing.

Cross
Bulk Quote Request Form
Name*:
Organization*:
Email*:
Phone Number*:
Catalog No.*:
Comments and Specifics(amount, formulation, etc.)*:
Validation code: Captchapackage Image


Can't read the image? click here to refresh.
    *required field

Your bulk quote request has been submitted successfully!

Please contact us if you have any questions.