• Tel: 858.663.9055
  • SeparatorEmail: info@nsjbio.com
  • Tel: 858.663.9055
  • Email: info@nsjbio.com
Home >> Antibodies >> Alpha Fodrin Antibody / Alpha II Spectrin / SPTAN1 / NEAS

Alpha Fodrin Antibody / Alpha II Spectrin / SPTAN1 / NEAS [clone SPTAN1/3506] (V9594)

  Catalog No Formulation Size Price (USD)  
Image V9594-100UG 0.2 mg/ml in 1X PBS with 0.1 mg/ml BSA (US sourced), 0.05% sodium azide 100 ug 539
Image
V9594-20UG 0.2 mg/ml in 1X PBS with 0.1 mg/ml BSA (US sourced), 0.05% sodium azide 20 ug 249
Image
V9594SAF-100UG 1 mg/ml in 1X PBS; BSA free, sodium azide free 100 ug 539
Microvalidated
Bulk quote request
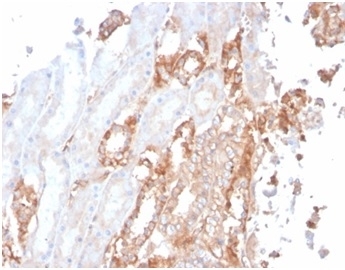
IHC staining of FFPE human renal cell carcinoma tissue with Alpha Fodrin antibody (clone SPTAN1/3506). HIER: boil tissue sections in pH 9 10mM Tris with 1mM EDTA for 20 min and allow to cool before testing.
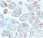
IHC staining of FFPE human placental tissue with Alpha Fodrin antibody (clone SPTAN1/3506). HIER: boil tissue sections in pH 9 10mM Tris with 1mM EDTA for 20 min and allow to cool before testing.
SDS-PAGE analysis of purified, BSA-free Alpha Fodrin antibody (clone SPTAN1/3506) as confirmation of integrity and purity.
Analysis of HuProt(TM) microarray containing more than 19,000 full-length human proteins using Alpha Fodrin antibody (clone SPTAN1/3506). These results demonstrate the foremost specificity of the SPTAN1/3506 mAb. Z- and S- score: The Z-score represents the strength of a signal that an antibody (in combination with a fluorescently-tagged anti-IgG secondary Ab) produces when binding to a particular protein on the HuProt(TM) array. Z-scores are described in units of standard deviations (SD's) above the mean value of all signals generated on that array. If the targets on the HuProt(TM) are arranged in descending order of the Z-score, the S-score is the difference (also in units of SD's) between the Z-scores. The S-score therefore represents the relative target specificity of an Ab to its intended target.
Availability 1-3 business days
Species Reactivity Human
Format Purified
Clonality Monoclonal (mouse origin)
Isotype Mouse IgG2b, kappa
Clone Name SPTAN1/3506
Purity Protein A/G affinity
UniProt Q13813
Localization Cytoplasm
Applications Immunohistochemistry (FFPE) : 1-2ug/ml
Limitations This Alpha Fodrin antibody is available for research use only.
Review this product on BioCompare and get a $20 Amazon gift card

Related Products

Description

Spectrin, an actin binding protein that is a major component of the cytoskeletal superstructure of the erythrocyte plasma membrane, is essential in determining the properties of the membrane including its shape and deformability. Spectrins function as membrane organizers and stabilizers, composed of nonhomologous II, a neuronal cytoskeleton protein.

Application Notes

Optimal dilution of the Alpha Fodrin antibody should be determined by the researcher.

Immunogen

A portion of amino acids2351-2475 was used as the immunogen for the Alpha Fodrin antibody.

Storage

Aliquot the Alpha Fodrin antibody and store frozen at -20oC or colder. Avoid repeated freeze-thaw cycles.

Cross
Bulk Quote Request Form
Name*:
Organization*:
Email*:
Phone Number*:
Catalog No.*:
Comments and Specifics(amount, formulation, etc.)*:
Validation code: Captchapackage Image


Can't read the image? click here to refresh.
    *required field

Your bulk quote request has been submitted successfully!

Please contact us if you have any questions.