• Tel: 858.663.9055
  • SeparatorEmail: info@nsjbio.com
  • Tel: 858.663.9055
  • Email: info@nsjbio.com
Home >> Antibodies >> Alpha Enolase Antibody / ENOA

Alpha Enolase Antibody / ENOA (F54785)

  Catalog No Formulation Size Price (USD)  
Image F54785-0.4ML In 1X PBS, pH 7.4, with 0.09% sodium azide 0.4 ml 429
Image
F54785-0.08ML In 1X PBS, pH 7.4, with 0.09% sodium azide 0.08 ml 199
Bulk quote request
Western blot testing of 1) human Jurkat, 2) human MCF7, 3) human U-251 and 4) mouse brain lysate with Alpha Enolase antibody. Predicted molecular weight ~47 kDa.
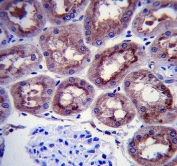
IHC testing of FFPE human kidney tissue with Alpha Enolase antibody. HIER: steam section in pH6 citrate buffer for 20 min and allow to cool prior to staining.
Immunofluorescent staining of human HeLa cells with Alpha Enolase antibody (green), DAPI nuclear stain (blue) and anti-Actin (red).
Flow cytometry testing of human Ramos cells with Alpha Enolase antibody; Blue=isotype control, Green= Alpha Enolase antibody.
Availability 1-3 business days
Species Reactivity Human, Mouse
Format Purified
Clonality Polyclonal (rabbit origin)
Isotype Rabbit Ig
Purity Purified
UniProt P06733
Localization Cytoplasmic, nuclear
Applications Western Blot : 1:500-1:1000
Immunohistochemistry (FFPE) : 1:25
Immunofluorescence : 1:25
Flow Cytometry : 1:25 (1x10e6 cells)
Limitations This Alpha Enolase antibody is available for research use only.
Review this product on BioCompare and get a $20 Amazon gift card

Related Products

Description

ENOA, or ENO1, is one of three enolase isoenzymes found in mammals; the protein alpha-enolase, a homodimeric soluble enzyme, and is also a shorter monomeric structural lens protein, tau-crystallin. The two proteins are made from the same message. The full length protein, the isoenzyme, is found in the cytoplasm. The shorter protein is produced from an alternative translation start, is localized to the nucleus, and has been found to bind to an element in the c-myc promoter.

Application Notes

The stated application concentrations are suggested starting points. Titration of the Alpha Enolase antibody may be required due to differences in protocols and secondary/substrate sensitivity.

Immunogen

A portion of amino acids 405-434 from the human protein was used as the immunogen for the Alpha Enolase antibody.

Storage

Aliquot the Alpha Enolase antibody and store frozen at -20oC or colder. Avoid repeated freeze-thaw cycles.

Cross
Bulk Quote Request Form
Name*:
Organization*:
Email*:
Phone Number*:
Catalog No.*:
Comments and Specifics(amount, formulation, etc.)*:
Validation code: Captchapackage Image


Can't read the image? click here to refresh.
    *required field

Your bulk quote request has been submitted successfully!

Please contact us if you have any questions.