• Tel: 858.663.9055
  • SeparatorEmail: info@nsjbio.com
  • Tel: 858.663.9055
  • Email: info@nsjbio.com
Home >> Antibodies >> Alpha Enolase Antibody / ENO1 / Enolase 1

Alpha Enolase Antibody / ENO1 / Enolase 1 [clone AEA-5] (RQ5160)

  Catalog No Formulation Size Price (USD)  
Image RQ5160 Antibody in PBS with 0.02% sodium azide, 50% glycerol and 0.4-0.5mg/ml BSA 100 ul 439
Microvalidated Rab Mono Image
Bulk quote request
Western blot testing of 1) human MCF7 and 2) rat brain lysate with Alpha Enolase antibody. Predicted molecular weight ~47 kDa.
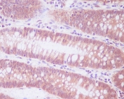
IHC staining of FFPE human colon tissue with Alpha Enolase antibody. HIER: boil tissue sections in pH6, 10mM citrate buffer, for 10-20 min and allow to cool before testing.
Availability 1-2 weeks
Species Reactivity Human, Rat
Format Purified
Clonality Rabbit Monoclonal
Isotype Rabbit IgG
Clone Name AEA-5
Purity Affinity purified
UniProt P06733
Applications Western Blot : 1:500-1:2000
Immunohistochemistry (FFPE) : 1:50-1:200
Limitations This Alpha Enolase antibody is available for research use only.
Review this product on BioCompare and get a $20 Amazon gift card

Related Products

Description

The ENO1 gene encodes alpha-enolase, one of three enolase isoenzymes found in mammals. Each isoenzyme is a homodimer composed of 2 alpha, 2 gamma, or 2 beta subunits, and functions as a glycolytic enzyme. Alpha-enolase in addition, functions as a structural lens protein (tau-crystallin) in the monomeric form. [RefSeq]

Application Notes

Optimal dilution of the Alpha Enolase antibody should be determined by the researcher.

Immunogen

A synthetic peptide specific to human Alpha Enolase / ENO1 was used as the immunogen for the Alpha Enolase antibody.

Storage

Store the Alpha Enolase antibody at -20oC.

Cross
Bulk Quote Request Form
Name*:
Organization*:
Email*:
Phone Number*:
Catalog No.*:
Comments and Specifics(amount, formulation, etc.)*:
Validation code: Captchapackage Image


Can't read the image? click here to refresh.
    *required field

Your bulk quote request has been submitted successfully!

Please contact us if you have any questions.