• Tel: 858.663.9055
  • SeparatorEmail: info@nsjbio.com
  • Tel: 858.663.9055
  • Email: info@nsjbio.com
Home >> Antibodies >> Alpha Catenin Antibody

Alpha Catenin Antibody (R34613)

  Catalog No Formulation Size Price (USD)  
Image R34613-100UG 0.5 mg/ml in 1X TBS, pH7.3, with 0.5% BSA (US sourced) and 0.02% sodium azide 100 ug 449
Bulk quote request
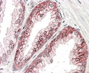
IHC staining of FFPE human prostate with alpha Catenin antibody at 3.8ug/ml. HIER: steamed with pH6 citrate buffer, AP-staining.
Western blot testing of human colon lysate with alpha Catenin antibody at 1ug/ml. Expected/observed molecular weight: ~102kDa.
Western blot of HEK293 lysate overexpressing human CTNNA1 probed with alpha Catenin antibody (mock transfection in lane 1). Expected/observed molecular weight: ~102kDa.
Availability 1-3 business days
Species Reactivity Human
Predicted Reactivity Mouse, Rat, Dog
Format Antigen affinity purified
Clonality Polyclonal (goat origin)
Isotype Goat Ig
Purity Antigen affinity
Gene ID 1495
Localization Cell surface, cytoplasmic, cell junctions
Applications Western Blot : 1-3ug/ml
Immunohistochemistry (FFPE) : 3-6ug/ml
ELISA (peptide) LOD : 1:32000
Limitations This alpha Catenin antibody is available for research use only.
Review this product on BioCompare and get a $20 Amazon gift card

Related Products

Description

Additional name(s) for this target protein: Catenin (cadherin-associated protein), alpha 1; CTNNA1

Application Notes

Optimal dilution of the alpha Catenin antibody should be determined by the researcher.

Immunogen

Amino acids KREKQDETQTKIK were used as the immunogen for this alpha Catenin antibody.

Storage

Aliquot and store the alpha Catenin antibody at -20oC.

Cross
Bulk Quote Request Form
Name*:
Organization*:
Email*:
Phone Number*:
Catalog No.*:
Comments and Specifics(amount, formulation, etc.)*:
Validation code: Captchapackage Image


Can't read the image? click here to refresh.
    *required field

Your bulk quote request has been submitted successfully!

Please contact us if you have any questions.