• Tel: 858.663.9055
  • SeparatorEmail: info@nsjbio.com
  • Tel: 858.663.9055
  • Email: info@nsjbio.com
Home >> Antibodies >> Alpha Catenin Antibody

Alpha Catenin Antibody (R31558)

  Catalog No Formulation Size Price (USD)  
Image R31558 0.5mg/ml if reconstituted with 0.2ml sterile DI water 100 ug 439
Bulk quote request
Western blot testing of alpha Catenin antibody and Lane 1: rat liver; 2: (r) lung; 3: (r) heart; 4: mouse NIH3T3; 5: (r) PC12; 6: human HEPG2; 7: (h) HeLa; 8: (h) MCF-7; 9: (m) HEPA. Expected/observed molecular weight: ~102 kDa.
Western blot testing of alpha Catenin antibody and recombinant human protein (0.5ng)
IHC testing of FFPE human breast tissue with alpha Catenin antibody at 1ug/ml. Required HIER: steam section in pH6 citrate buffer for 20 min and allow to cool prior to staining.
IHC testing of FFPE mouse intestine tissue with alpha Catenin antibody at 1ug/ml. Required HIER: steam section in pH6 citrate buffer for 20 min and allow to cool prior to staining.
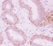
IHC testing of FFPE rat intestine tissue with alpha Catenin antibody at 1ug/ml. Required HIER: steam section in pH6 citrate buffer for 20 min and allow to cool prior to staining.
Immunofluorescent staining of FFPE human U-2 OS cells with alpha Catenin antibody (green) and DAPI nuclear stain (blue). HIER: steam section in pH6 citrate buffer for 20 min.
Flow cytometry testing of fixed and permeabilized human U-87 MG cells with alpha Catenin antibody at 1ug/million cells (blocked with goat sera); Red=cells alone, Green=isotype control, Blue= alpha Catenin antibody.
Availability 1-3 business days
Species Reactivity Human, Mouse, Rat
Format Antigen affinity purified
Clonality Polyclonal (rabbit origin)
Isotype Rabbit IgG
Purity Antigen affinity
Buffer Lyophilized from 1X PBS with 2.5% BSA and 0.025% sodium azide
Gene ID 1495
Localization Cell surface, cytoplasmic, cell junctions
Applications Western Blot : 0.5-1ug/ml
Immunohistochemistry (FFPE) : 0.5-1ug/ml
Immunohistochemistry (Frozen) : 0.5-1ug/ml
Immunofluorescence : 5ug/ml
Flow Cytometry : 1-3ug/million cells
Limitations This alpha Catenin antibody is available for research use only.
Review this product on BioCompare and get a $20 Amazon gift card

Related Products

Description

Alpha Catenin is a protein that in humans is encoded by the CTNNA1 gene. When surface epithelium CTNNA1 was ablated, hair follicle development was blocked and epidermal morphogenesis was dramatically affected, with defects in adherens junction formation, intercellular adhesion, and epithelial polarity. In vitro, CTNNA1 null keratinocytes were poorly contact inhibited and grew rapidly. These differences were not dependent upon intercellular adhesion and were in marked contrast to keratinocytes conditionally null for another essential intercellular adhesion protein, desmoplakin Knockout keratinocytes exhibited sustained activation of the Ras-MAPK cascade due to aberrations in growth factor responses. It is concluded that features of precancerous lesions often attributed to defects in cell cycle regulatory genes can be generated by compromising the function of CTNNA1.

Application Notes

The stated application concentrations are suggested starting amounts. Titration of the alpha Catenin antibody may be required due to differences in protocols and secondary/substrate sensitivity.

Immunogen

Human partial recombinant protein (AA 143-292) was used as the immunogen for this alpha Catenin antibody.

Storage

After reconstitution, the alpha Catenin antibody can be stored for up to one month at 4oC. For long-term, aliquot and store at -20oC. Avoid repeated freezing and thawing.

Cross
Bulk Quote Request Form
Name*:
Organization*:
Email*:
Phone Number*:
Catalog No.*:
Comments and Specifics(amount, formulation, etc.)*:
Validation code: Captchapackage Image


Can't read the image? click here to refresh.
    *required field

Your bulk quote request has been submitted successfully!

Please contact us if you have any questions.