• Tel: 858.663.9055
  • SeparatorEmail: info@nsjbio.com
  • Tel: 858.663.9055
  • Email: info@nsjbio.com
Home >> Antibodies >> Alpha Amylase 1 Antibody

Alpha Amylase 1 Antibody (R30559)

  Catalog No Formulation Size Price (USD)  
Image R30559 0.5mg/ml if reconstituted with 0.2ml sterile DI water 100 ug 439
Bulk quote request
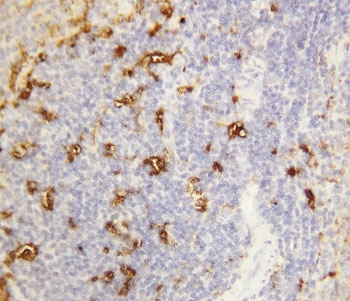
IHC-P: Alpha Amylase 1 antibody testing of rat spleen tissue
Western blot testing of 1) human PANC-1, 2) rat pancreas and 3) mouse pancreas lysate with Alpha Amylase 1 antibody. Expected molecular weight ~58 kDa.
Availability 1-3 business days
Species Reactivity Human, Mouse, Rat
Format Antigen affinity purified
Clonality Polyclonal (rabbit origin)
Isotype Rabbit IgG
Purity Antigen affinity
Buffer Lyophilized from 1X PBS with 2.5% BSA and 0.025% sodium azide/thimerosal
UniProt P04745
Applications Western Blot : 0.5-1ug/ml
Immunohistochemistry (FFPE) : 0.5-1ug/ml
Limitations This Alpha Amylase 1 antibody is available for research use only.
Review this product on BioCompare and get a $20 Amazon gift card

Related Products

Description

Amylase is an enzyme that catalyses the breakdown of starch into sugars. Amylase is present in human saliva, where it begins the chemical process of digestion. By in situ hybridization combined with high resolution cytogenetics, the amylase gene is mapped to 1p21.Amylase enzymes find use in bread making and to break down complex sugars such as starch(found in flour) into simple sugars. Yeast then feeds on these simple sugars and converts it into the waste products of alcohol and CO2.

Application Notes

The stated application concentrations are suggested starting amounts. Titration of the Alpha Amylase 1 antibody may be required due to differences in protocols and secondary/substrate sensitivity.

Immunogen

An amino acid sequence from the N-terminus of human Alpha Amylase 1 (HLFEWRWVDIALECE) was used as the immunogen for this Alpha Amylase 1 antibody.

Storage

After reconstitution, the Alpha Amylase 1 antibody can be stored for up to one month at 4oC. For long-term, aliquot and store at -20oC. Avoid repeated freezing and thawing.

Cross
Bulk Quote Request Form
Name*:
Organization*:
Email*:
Phone Number*:
Catalog No.*:
Comments and Specifics(amount, formulation, etc.)*:
Validation code: Captchapackage Image


Can't read the image? click here to refresh.
    *required field

Your bulk quote request has been submitted successfully!

Please contact us if you have any questions.