• Tel: 858.663.9055
  • SeparatorEmail: info@nsjbio.com
  • Tel: 858.663.9055
  • Email: info@nsjbio.com
Home >> Antibodies >> Alpha Actin Antibody

Alpha Actin Antibody (F44155)

  Catalog No Formulation Size Price (USD)  
Image F44155-0.4ML In 1X PBS, pH 7.4, with 0.09% sodium azide 0.4 ml 429
Image
F44155-0.08ML In 1X PBS, pH 7.4, with 0.09% sodium azide 0.08 199
Bulk quote request
Alpha Actin antibody western blot analysis in (1) A549, (2) RD, and (3) human placenta lysate
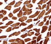
Alpha Actin antibody immunohistochemistry analysis in formalin fixed and paraffin embedded human skeletal muscle
Confocal immunofluorescent analysis of alpha Actin antibody with A549 cells followed by Alexa Fluor 488-conjugated goat anti-rabbit lgG (green). DAPI was used as a nuclear counterstain (blue).
Alpha Actin antibody flow cytometric analysis of CEM cells (green) compared to a negative control (blue).
Availability 1-3 business days
Species Reactivity Human
Predicted Reactivity Bovine, Chicken, Mouse, Pig, Rabbit, Rat, Xenopus
Format Antigen affinity purified
Clonality Polyclonal (rabbit origin)
Isotype Rabbit Ig
Purity Antigen affinity
UniProt P68133
Applications Western Blot : 1:1000
IHC (Paraffin) : 1:10-1:50
Immunofluorescence : 1:10-1:50
Flow Cytometry : 1:10-1:50
Limitations This alpha Actin antibody is available for research use only.
Review this product on BioCompare and get a $20 Amazon gift card

Related Products

Description

The product encoded by this gene belongs to the actin family of proteins, which are highly conserved proteins that play a role in cell motility, structure and integrity. Alpha, beta and gamma actin isoforms have been identified, with a-actins being a major constituent of the contractile apparatus, while beta and gamma actins are involved in the regulation of cell motility. This actin is an a-actin that is found in skeletal muscle. Mutations in this gene cause nemaline myopathy type 3, congenital myopathy with excess of thin myofilaments, congenital myopathy with cores, and congenital myopathy with fiber-type disproportion, diseases that lead to muscle fiber defects.

Application Notes

The stated application concentrations are suggested starting amounts. Titration of the alpha Actin antibody may be required due to differences in protocols and secondary/substrate sensitivity.

Immunogen

A portion of amino acids 346-375 from human ACTA1 was used as the immunogen for this alpha Actin antibody.

Storage

Aliquot the alpha Actin antibody and store frozen at -20oC or colder. Avoid repeated freeze-thaw cycles.

Cross
Bulk Quote Request Form
Name*:
Organization*:
Email*:
Phone Number*:
Catalog No.*:
Comments and Specifics(amount, formulation, etc.)*:
Validation code: Captchapackage Image


Can't read the image? click here to refresh.
    *required field

Your bulk quote request has been submitted successfully!

Please contact us if you have any questions.