• Tel: 858.663.9055
  • SeparatorEmail: info@nsjbio.com
  • Tel: 858.663.9055
  • Email: info@nsjbio.com
Home >> Antibodies >> Alpha-2-Macroglobulin Antibody / A2M

Alpha-2-Macroglobulin Antibody / A2M [clone A2M/6555] (V4259)

  Catalog No Formulation Size Price (USD)  
Image V4259-100UG 0.2 mg/ml in 1X PBS with 0.1 mg/ml BSA (US sourced), 0.05% sodium azide 100 ug 539
Image
V4259-20UG 0.2 mg/ml in 1X PBS with 0.1 mg/ml BSA (US sourced), 0.05% sodium azide 20 ug 249
Image
V4259SAF-100UG 1 mg/ml in 1X PBS; BSA free, sodium azide free 100 ug 539
Microvalidated
Bulk quote request
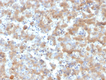
IHC staining of FFPE human liver tissue with Alpha-2-Macroglobulin antibody (clone A2M/6555). HIER: boil tissue sections in pH 9 10mM Tris with 1mM EDTA for 20 min and allow to cool before testing.
SDS-PAGE analysis of purified, BSA-free Alpha-2-Macroglobulin antibody (clone A2M/6555) as confirmation of integrity and purity.
Analysis of a HuProt(TM) microarray containing more than 19,000 full-length human proteins using Alpha-2-Macroglobulin antibody (clone A2M/6555). Z- and S- Score: The Z-score represents the strength of a signal that a monoclonal antibody (in combination with a fluorescently-tagged anti-IgG secondary antibody) produces when binding to a particular protein on the HuProt(TM) array. Z-scores are described in units of standard deviations (SD's) above the mean value of all signals generated on that array. If targets on HuProt(TM) are arranged in descending order of the Z-score, the S-score is the difference (also in units of SD's) between the Z-score. S-score therefore represents the relative target specificity of a mAb to its intended target. A mAb is considered to specific to its intended target, if the mAb has an S-score of at least 2.5. For example, if a mAb binds to protein X with a Z-score of 43 and to protein Y with a Z-score of 14, then the S-score for the binding of that mAb to protein X is equal to 29.
Availability 1-3 business days
Species Reactivity Human
Format Purified
Clonality Monoclonal (mouse origin)
Isotype Mouse IgG2, kappa
Clone Name A2M/6555
Purity Protein A/G affinity
UniProt P01023
Localization Secreted
Applications Immunohistochemistry (FFPE) : 1-2ug/ml for 30 minutes at RT
Limitations This Alpha-2-Macroglobulin antibody is available for research use only.
Review this product on BioCompare and get a $20 Amazon gift card

Related Products

Description

Alpha-2-Macroglobulin (Alpha-2M) is a homotetrameric serum protein consisting of four identical subunits that form dimers through disulfide bonds. Initially, Alpha-2M was characterized as a pan-proteinase inhibitor that was able to bait proteinases into cleaving specific peptide sequences on Alpha-2M. This interaction induces a conformational change in Alpha-2M, thus enabling it to trap the proteinase and further inhibit its activity. Subsequently, Alpha-2M has been shown to function as a carrier protein and regulator of cytokines during inflammation. Circulating transforming growth factor beta (TGFbeta) in serum is primarily bound to Alpha-2M, which renders TGFbeta inactive. Alpha-2M also binds to IL-6 and, thereby, increases the concentration of IL-6 near lymphocytes, hepatocytes and stem cells involved in mediating the inflammatory cascade. Mutations and deletions in the gene encoding Alpha-2M are associated with an increased incidence of Alzheimer s disease (AD), which is consistent with the role of Alpha-2M in mediating the clearance and degradation of A beta, the major component of beta-Amyloid deposits accumulated during AD.

Application Notes

Optimal dilution of the Alpha-2-Macroglobulin antibody should be determined by the researcher.

Immunogen

A recombinant partial protein sequence (within amino acids 600-800) from the human protein was used as the immunogen for the Alpha-2-Macroglobulin antibody.

Storage

Aliquot the Alpha-2-Macroglobulin antibody and store frozen at -20oC or colder. Avoid repeated freeze-thaw cycles.

Cross
Bulk Quote Request Form
Name*:
Organization*:
Email*:
Phone Number*:
Catalog No.*:
Comments and Specifics(amount, formulation, etc.)*:
Validation code: Captchapackage Image


Can't read the image? click here to refresh.
    *required field

Your bulk quote request has been submitted successfully!

Please contact us if you have any questions.