• Tel: 858.663.9055
  • SeparatorEmail: info@nsjbio.com
  • Tel: 858.663.9055
  • Email: info@nsjbio.com
Home >> Antibodies >> Alpha-2-Macroglobulin Antibody / A2M

Alpha-2-Macroglobulin Antibody / A2M [clone A2M/6550] (V4258)

  Catalog No Formulation Size Price (USD)  
Image V4258-100UG 0.2 mg/ml in 1X PBS with 0.1 mg/ml BSA (US sourced), 0.05% sodium azide 100 ug 539
Image
V4258-20UG 0.2 mg/ml in 1X PBS with 0.1 mg/ml BSA (US sourced), 0.05% sodium azide 20 ug 249
Image
V4258SAF-100UG 1 mg/ml in 1X PBS; BSA free, sodium azide free 100 ug 539
Bulk quote request
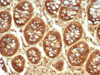
IHC staining of FFPE human colon tissue with Alpha-2-Macroglobulin antibody (clone A2M/6550). HIER: boil tissue sections in pH 9 10mM Tris with 1mM EDTA for 20 min and allow to cool before testing.
SDS-PAGE analysis of purified, BSA-free Alpha-2-Macroglobulin antibody (clone A2M/6550) as confirmation of integrity and purity.
Availability 1-3 business days
Species Reactivity Human
Format Purified
Clonality Monoclonal (mouse origin)
Isotype Mouse IgG2, kappa
Clone Name A2M/6550
Purity Protein A/G affinity
UniProt P01023
Localization Secreted
Applications Immunohistochemistry (FFPE) : 1-2ug/ml for 30 minutes at RT
Limitations This Alpha-2-Macroglobulin antibody is available for research use only.
Review this product on BioCompare and get a $20 Amazon gift card

Related Products

Description

Alpha-2-Macroglobulin (Alpha-2M) is a homotetrameric serum protein consisting of four identical subunits that form dimers through disulfide bonds. Initially, Alpha-2M was characterized as a pan-proteinase inhibitor that was able to bait proteinases into cleaving specific peptide sequences on Alpha-2M. This interaction induces a conformational change in Alpha-2M, thus enabling it to trap the proteinase and further inhibit its activity. Subsequently, Alpha-2M has been shown to function as a carrier protein and regulator of cytokines during inflammation. Circulating transforming growth factor beta (TGFbeta) in serum is primarily bound to Alpha-2M, which renders TGFbeta inactive. Alpha-2M also binds to IL-6 and, thereby, increases the concentration of IL-6 near lymphocytes, hepatocytes and stem cells involved in mediating the inflammatory cascade. Mutations and deletions in the gene encoding Alpha-2M are associated with an increased incidence of Alzheimer s disease (AD), which is consistent with the role of Alpha-2M in mediating the clearance and degradation of A beta, the major component of beta-Amyloid deposits accumulated during AD.

Application Notes

Optimal dilution of the Alpha-2-Macroglobulin antibody should be determined by the researcher.

Immunogen

A recombinant partial protein sequence (within amino acids 600-800) from the human protein was used as the immunogen for the Alpha-2-Macroglobulin antibody.

Storage

Aliquot the Alpha-2-Macroglobulin antibody and store frozen at -20oC or colder. Avoid repeated freeze-thaw cycles.

Cross
Bulk Quote Request Form
Name*:
Organization*:
Email*:
Phone Number*:
Catalog No.*:
Comments and Specifics(amount, formulation, etc.)*:
Validation code: Captchapackage Image


Can't read the image? click here to refresh.
    *required field

Your bulk quote request has been submitted successfully!

Please contact us if you have any questions.