• Tel: 858.663.9055
  • SeparatorEmail: info@nsjbio.com
  • Tel: 858.663.9055
  • Email: info@nsjbio.com
Home >> Antibodies >> Alpha-2-M Antibody / Alpha-2-Macroglobulin / A2M

Alpha-2-M Antibody / Alpha-2-Macroglobulin / A2M [clone A2M/3622] (V9469)

  Catalog No Formulation Size Price (USD)  
Image V9469-100UG 0.2 mg/ml in 1X PBS with 0.1 mg/ml BSA (US sourced), 0.05% sodium azide 100 ug 539
Image
V9469-20UG 0.2 mg/ml in 1X PBS with 0.1 mg/ml BSA (US sourced), 0.05% sodium azide 20 ug 249
Image
V9469SAF-100UG 1 mg/ml in 1X PBS; BSA free, sodium azide free 100 ug 539
Microvalidated
Bulk quote request
Analysis of HuProt(TM) microarray containing more than 19,000 full-length human proteins using Alpha-2-M antibody (clone A2M/3622). These results demonstrate the foremost specificity of the A2M/3622 mAb. Z- and S- score: The Z-score represents the strength of a signal that an antibody (in combination with a fluorescently-tagged anti-IgG secondary Ab) produces when binding to a particular protein on the HuProt(TM) array. Z-scores are described in units of standard deviations (SD's) above the mean value of all signals generated on that array. If the targets on the HuProt(TM) are arranged in descending order of the Z-score, the S-score is the difference (also in units of SD's) between the Z-scores. The S-score therefore represents the relative target specificity of an Ab to its intended target.
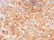
IHC staining of FFPE human liver tissue with Alpha-2-M antibody (clone A2M/3622). HIER: boil tissue sections in pH 9 10mM Tris with 1mM EDTA for 20 min and allow to cool before testing.
Availability 1-3 business days
Species Reactivity Human
Format Purified
Clonality Monoclonal (mouse origin)
Isotype Mouse IgG2b, kappa
Clone Name A2M/3622
Purity Protein A/G affinity
UniProt P01023
Localization Secreted in plasma
Applications Immunohistochemistry (FFPE) : 1-2ug/ml
Limitations This Alpha-2-M antibody is available for research use only.
Review this product on BioCompare and get a $20 Amazon gift card

Related Products

Description

A2-Macroglobulin acts as an antiprotease and is able to inactivate an enormous variety of proteinases. It functions as an inhibitor of fibrinolysis by inhibiting plasmin and kallikrein. It functions as an inhibitor of coagulation by inhibiting thrombin. A2-macroglobulin may act as a carrier protein because it also binds to numerous growth factors and cytokines, such as platelet-derived growth factor, basic fibroblast growth factor, TGF-b, insulin, and IL-1b. [UniProt]

Application Notes

Optimal dilution of the Alpha-2-M antibody should be determined by the researcher.

Immunogen

A portin of amino acids 604-748 from the human protein was used as the immunogen for the Alpha-2-M antibody.

Storage

Aliquot the Alpha-2-M antibody and store frozen at -20oC or colder. Avoid repeated freeze-thaw cycles.

Cross
Bulk Quote Request Form
Name*:
Organization*:
Email*:
Phone Number*:
Catalog No.*:
Comments and Specifics(amount, formulation, etc.)*:
Validation code: Captchapackage Image


Can't read the image? click here to refresh.
    *required field

Your bulk quote request has been submitted successfully!

Please contact us if you have any questions.