• Tel: 858.663.9055
  • SeparatorEmail: info@nsjbio.com
  • Tel: 858.663.9055
  • Email: info@nsjbio.com
Home >> Antibodies >> Alpha 1 Catenin Antibody / CTNNA1

Alpha 1 Catenin Antibody / CTNNA1 [clone 10I2] (RQ5638)

  Catalog No Formulation Size Price (USD)  
Image RQ5638 0.5mg/ml if reconstituted with 0.2ml sterile DI water 100 ug 439
Bulk quote request
Flow cytometry testing of human Jurkat cells with Alpha 1 Catenin antibody at 1ug/million cells (blocked with goat sera); Red=cells alone, Green=isotype control, Blue= Alpha 1 Catenin antibody.
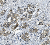
IHC staining of FFPE human breast cancer with Alpha 1 Catenin antibody. HIER: boil tissue sections in pH8 EDTA for 20 min and allow to cool before testing.
Western blot testing of human 1) HeLa, 2) HEK293, 3) U-2 OS, 4) U-87 MG, 5) rat PC-12 and 6) mouse NIH 3T3 lysate with Alpha 1 Catenin antibody. Predicted molecular weight ~102 kDa.
Availability 1-3 business days
Species Reactivity Human, Mouse, Rat
Format Antigen affinity purified
Clonality Monoclonal
Isotype Mouse IgG1
Clone Name 10I2
Purity Affinity purified
Buffer Lyophilized from 1X PBS with 2% Trehalose and 0.025% sodium azide
UniProt P35221
Applications Western Blot : 0.5-1ug/ml
Immunohistochemistry : 1-2ug/ml
Flow Cytometry : 1-3ug/million cells
Limitations This Alpha 1 Catenin antibody is available for research use only.
Review this product on BioCompare and get a $20 Amazon gift card

Related Products

Description

CTNNA1, also known as Catenin alpha-1 or Catenin (cadherin-associated protein), alpha 1, is a protein that in humans is encoded by the CTNNA1 gene. It is mapped to 5q31.2. When surface epithelium CTNNA1 was ablated, hair follicle development was blocked and epidermal morphogenesis was dramatically affected, with defects in adherens junction formation, intercellular adhesion, and epithelial polarity. In vitro, CTNNA1 null keratinocytes were poorly contact inhibited and grew rapidly. These differences were not dependent upon intercellular adhesion and were in marked contrast to keratinocytes conditionally null for another essential intercellular adhesion protein, desmoplakin Knockout keratinocytes exhibited sustained activation of the Ras-MAPK cascade due to aberrations in growth factor responses. It is concluded that features of precancerous lesions often attributed to defects in cell cycle regulatory genes can be generated by compromising the function of CTNNA1.

Application Notes

Optimal dilution of the Alpha 1 Catenin antibody should be determined by the researcher.

Immunogen

Recombinant human protein (amino acids D143-D292) was used as the immunogen for the Alpha 1 Catenin antibody.

Storage

After reconstitution, the Alpha 1 Catenin antibody can be stored for up to one month at 4oC. For long-term, aliquot and store at -20oC. Avoid repeated freezing and thawing.

Cross
Bulk Quote Request Form
Name*:
Organization*:
Email*:
Phone Number*:
Catalog No.*:
Comments and Specifics(amount, formulation, etc.)*:
Validation code: Captchapackage Image


Can't read the image? click here to refresh.
    *required field

Your bulk quote request has been submitted successfully!

Please contact us if you have any questions.