• Tel: 858.663.9055
  • SeparatorEmail: info@nsjbio.com
  • Tel: 858.663.9055
  • Email: info@nsjbio.com
Home >> Antibodies >> Alpha 1 Antitrypsin Antibody / SERPINA1 / AAT

Alpha 1 Antitrypsin Antibody / SERPINA1 / AAT [clone AOEF-19] (RQ4850)

  Catalog No Formulation Size Price (USD)  
Image RQ4850 Antibody in PBS with 0.02% sodium azide, 50% glycerol and 0.4-0.5mg/ml BSA 100 ul 439
Microvalidated Rab Mono Image
Bulk quote request
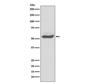
Western blot testing of human fetal kidney lysate with Alpha 1 Antitrypsin antibody. Expected molecular weight: 47-52 kDa depending on the level of glycosylation.
Availability 1-2 weeks
Species Reactivity Human
Format Purified
Clonality Rabbit Monoclonal
Isotype Rabbit IgG
Clone Name AOEF-19
Purity Affinity purified
UniProt P01009
Applications Western Blot : 1:500-1:2000
Limitations This Alpha 1 Antitrypsin antibody is available for research use only.
Review this product on BioCompare and get a $20 Amazon gift card

Related Products

Description

Alpha 1 Antitrypsin in an inhibitor of serine proteases. Its primary target is elastase, but it also has a moderate affinity for plasmin and thrombin. Irreversibly inhibits trypsin, chymotrypsin and plasminogen activator. The aberrant form inhibits insulin-induced NO synthesis in platelets, decreases coagulation time and has proteolytic activity against insulin and plasmin. [UniProt]

Application Notes

Optimal dilution of the Alpha 1 Antitrypsin antibody should be determined by the researcher.

Immunogen

A synthetic peptide specific to human SERPINA1 / Alpha 1 Antitrypsin was used as the immunogen for the Alpha 1 Antitrypsin antibody.

Storage

Store the Alpha 1 Antitrypsin antibody at -20oC.

Cross
Bulk Quote Request Form
Name*:
Organization*:
Email*:
Phone Number*:
Catalog No.*:
Comments and Specifics(amount, formulation, etc.)*:
Validation code: Captchapackage Image


Can't read the image? click here to refresh.
    *required field

Your bulk quote request has been submitted successfully!

Please contact us if you have any questions.