• Tel: 858.663.9055
  • SeparatorEmail: info@nsjbio.com
  • Tel: 858.663.9055
  • Email: info@nsjbio.com
Home >> Antibodies >> Alpha 1 Antitrypsin Antibody (Hepatocyte Marker)

Alpha 1 Antitrypsin Antibody (Hepatocyte Marker) [clone AAT/1378] (V3221)

  Catalog No Formulation Size Price (USD)  
Image V3221-100UG 0.2 mg/ml in 1X PBS with 0.1 mg/ml BSA (US sourced) and 0.05% sodium azide 100 ug 539
Image
V3221-20UG 0.2 mg/ml in 1X PBS with 0.1 mg/ml BSA (US sourced) and 0.05% sodium azide 20 ug 249
Image
V3221SAF-100UG 1 mg/ml in 1X PBS; BSA free, sodium azide free 100 ug 539
Bulk quote request
IHC testing of FFPE human tonsil with Alpha 1 Antitrypsin antibody (clone AAT/1378). Required HIER: steam sections in pH6, 10mM citrate buffer for 10-20 min.
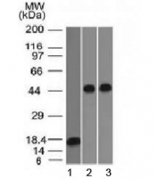
Western blot testing of 1) a partial recombinant protein, 2) human Jurkat and 3) human A549 lysate with Alpha 1 Antitrypsin antibody (clone AAT/1378). Expected molecular weight: ~47 kDa (unmodified), 52 kDa (glycosylated).
SDS-PAGE Analysis of Purified, BSA-Free Alpha 1 Antitrypsin Antibody (clone AAT/1378). Confirmation of Integrity and Purity of the Antibody.
Western blot testing of human lung tissue lysate with Alpha 1 Antitrypsin antibody. Expected molecular weight: 47-52 kDa depending on the level of glycosylation.
Availability 1-3 business days
Species Reactivity Human
Format Purified
Clonality Monoclonal (mouse origin)
Isotype Mouse IgG1, kappa
Clone Name AAT/1378
Purity Protein G affinity
UniProt P01009
Localization Cytoplasmic
Applications Western Blot : 0.5-1ug/ml
Immunohistochemistry (FFPE) : 0.5-1ug/ml for 30 min at RT
Limitations This Alpha 1 Antitrypsin antibody is available for research use only.
Review this product on BioCompare and get a $20 Amazon gift card

Related Products

Description

The immunohistochemical staining of Alpha 1 Antitrypsin (AAT) is useful in identification of benign and malignant hepatic tumors and yolk sac carcinomas. Positive staining for AAT is also used in detection of benign and malignant lesions of histiocytic nature. This antibody is may also useful tool in the screening of patients with cryptogenic cirrhosis or other forms of liver disease with fibrosis of uncertain origin.

Application Notes

The stated application concentrations are suggested starting amounts. Titration of the Alpha 1 Antitrypsin antibody may be required due to differences in protocols and secondary/substrate sensitivity.

Immunogen

A human partial recombinant protein was used as the immunogen for this Alpha 1 Antitrypsin antibody.

Storage

Store the Alpha 1 Antitrypsin antibody at 2-8oC (with azide) or aliquot and store at -20oC or colder (without azide).

Cross
Bulk Quote Request Form
Name*:
Organization*:
Email*:
Phone Number*:
Catalog No.*:
Comments and Specifics(amount, formulation, etc.)*:
Validation code: Captchapackage Image


Can't read the image? click here to refresh.
    *required field

Your bulk quote request has been submitted successfully!

Please contact us if you have any questions.