• Tel: 858.663.9055
  • SeparatorEmail: info@nsjbio.com
  • Tel: 858.663.9055
  • Email: info@nsjbio.com
Home >> Antibodies >> Alpha-1-Antichymotrypsin Antibody / AACT / SERPINA3

Alpha-1-Antichymotrypsin Antibody / AACT / SERPINA3 [clone SERPINA3/4189] (V9484)

  Catalog No Formulation Size Price (USD)  
Image V9484-100UG 0.2 mg/ml in 1X PBS with 0.1 mg/ml BSA (US sourced), 0.05% sodium azide 100 ug 539
Image
V9484-20UG 0.2 mg/ml in 1X PBS with 0.1 mg/ml BSA (US sourced), 0.05% sodium azide 20 ug 249
Image
V9484SAF-100UG 1 mg/ml in 1X PBS; BSA free, sodium azide free 100 ug 539
Microvalidated
Bulk quote request
Analysis of HuProt(TM) microarray containing more than 19,000 full-length human proteins using Alpha-1-Antichymotrypsin antibody (clone SERPINA3/4189). These results demonstrate the foremost specificity of the SERPINA3/4189 mAb. Z- and S- score: The Z-score represents the strength of a signal that an antibody (in combination with a fluorescently-tagged anti-IgG secondary Ab) produces when binding to a particular protein on the HuProt(TM) array. Z-scores are described in units of standard deviations (SD's) above the mean value of all signals generated on that array. If the targets on the HuProt(TM) are arranged in descending order of the Z-score, the S-score is the difference (also in units of SD's) between the Z-scores. The S-score therefore represents the relative target specificity of an Ab to its intended target.
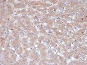
IHC staining of FFPE human liver tissue with Alpha-1-Antichymotrypsin antibody (clone SERPINA3/4189). HIER: boil tissue sections in pH 9 10mM Tris with 1mM EDTA for 20 min and allow to cool before testing.
SDS-PAGE analysis of purified, BSA-free Alpha-1-Antichymotrypsin antibody (clone SERPINA3/4189) as confirmation of integrity and purity.
Availability 1-3 business days
Species Reactivity Human
Format Purified
Clonality Monoclonal (mouse origin)
Isotype Mouse IgG2a, kappa
Clone Name SERPINA3/4189
Purity Protein A/G affinity
UniProt P01011
Localization Cytoplasm
Applications Immunohistochemistry (FFPE) : 1-2ug/ml
Limitations This Alpha-1-Antichymotrypsin antibody is available for research use only.
Review this product on BioCompare and get a $20 Amazon gift card

Related Products

Description

It recognizes a protein of 65-76kDa, which is identified antichymotrypsin (AACT). AACT is a plasma protease inhibitor synthesized in the liver as a single glycopeptide chain. In human, the normal serum level of AACT is about one-tenth that of their concentrations in plasma increase in response to trauma, surgery and infection. Elevated levels of AACT are widely, but not universally, reported in the cerebrospinal fluid and plasma of AD patients. Prostate-specific antigen (PSA) and its SDS-stable complex with AACT are in widespread use as markers for the diagnosis of prostate cancer. AACT deficiency may also be a possible cause of chronic liver disease. AACT antibody reacts with histiocytes and histiocytic neoplasms. It is widely used to identify histiocytes and tumors derived from them. Acinar tumors of the pancreas and salivary gland may also exhibit AACT positivity.

Application Notes

Optimal dilution of the Alpha-1-Antichymotrypsin antibody should be determined by the researcher.

Immunogen

A portion of amino acids A portion of amino acids 49-187 was used as the immunogen for the Alpha-1-Antichymotrypsin antibody.

Storage

Aliquot the Alpha-1-Antichymotrypsin antibody and store frozen at -20oC or colder. Avoid repeated freeze-thaw cycles.

Cross
Bulk Quote Request Form
Name*:
Organization*:
Email*:
Phone Number*:
Catalog No.*:
Comments and Specifics(amount, formulation, etc.)*:
Validation code: Captchapackage Image


Can't read the image? click here to refresh.
    *required field

Your bulk quote request has been submitted successfully!

Please contact us if you have any questions.