• Tel: 858.663.9055
  • SeparatorEmail: info@nsjbio.com
  • Tel: 858.663.9055
  • Email: info@nsjbio.com
Home >> Antibodies >> ALOX12 Antibody / 12S-lipoxygenase

ALOX12 Antibody / 12S-lipoxygenase (RQ8685)

  Catalog No Formulation Size Price (USD)  
Image RQ8685 0.5mg/ml if reconstituted with 0.2ml sterile DI water 100 ug 439
Bulk quote request
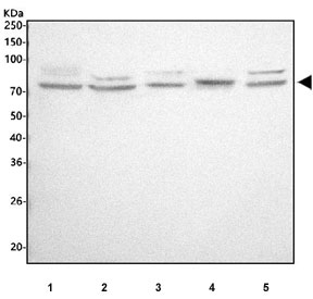
Western blot testing of 1) human A549, 2) human MCF7, 3) human Jurkat, 4) rat RH35 and 5) mouse RAW264.7 cell lysate with ALOX12 antibody. Predicted molecular weight ~76 kDa.
Availability 1-3 days
Species Reactivity Human, Mouse, Rat
Format Antigen affinity purified
Clonality Polyclonal (rabbit origin)
Isotype Rabbit IgG
Purity Antigen affinity chromatography
Buffer Lyophilized from 1X PBS with 2% Trehalose
UniProt P18054
Applications Western Blot : 1-2ug/ml
ELISA : 0.1-0.5ug/ml
Limitations This ALOX12 antibody is available for research use only.
Review this product on BioCompare and get a $20 Amazon gift card

Related Products

Description

ALOX12, Arachidonate 12-lipoxygenase, is an enzyme that in humans is encoded by the ALOX12 gene. By fluorescence in situ hybridization, the ALOX12 gene is located in band 17p13.1. The gene consists of 14 exons with 13 introns and spans approximately 15 kb of DNA Arachidonate 12-lipoxygenase introduces a molecular oxygen into the C-12 position of arachidonic acid to produce 12(S)-hydroperoxy-5,8,10,14-eicosatetraenoic acid. The major pathway of arachidonic acid metabolism in human platelets proceeds via a 12-lipoxygenase enzyme. Expression of the LOG12 gene was detected in human erythroleukemia cells, platelets, and human umbilical vein endothelial cells by reverse transcription-PCR analysis.

Application Notes

Optimal dilution of the ALOX12 antibody should be determined by the researcher.

Immunogen

An E.coli-derived human recombinant protein (amino acids A186-R628) was used as the immunogen for the ALOX12 antibody.

Storage

After reconstitution, the ALOX12 antibody can be stored for up to one month at 4oC. For long-term, aliquot and store at -20oC. Avoid repeated freezing and thawing.

Cross
Bulk Quote Request Form
Name*:
Organization*:
Email*:
Phone Number*:
Catalog No.*:
Comments and Specifics(amount, formulation, etc.)*:
Validation code: Captchapackage Image


Can't read the image? click here to refresh.
    *required field

Your bulk quote request has been submitted successfully!

Please contact us if you have any questions.