• Tel: 858.663.9055
  • SeparatorEmail: info@nsjbio.com
  • Tel: 858.663.9055
  • Email: info@nsjbio.com
Home >> Antibodies >> ALMS1 Antibody

ALMS1 Antibody (R35807)

  Catalog No Formulation Size Price (USD)  
Image R35807-100UG 0.5 mg/ml in 1X TBS, pH7.3, with 0.5% BSA (US sourced) and 0.02% sodium azide 100 ug 449
Bulk quote request
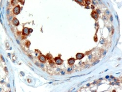
IHC testing of FFPE human testis with ALMS1 antibody at 2ug/ml. Microwaved antigen retrieval with Tris/EDTA buffer pH9, HRP-staining.
Availability 1-3 business days
Species Reactivity Human
Predicted Reactivity Cow, Dog, Mouse, Rat
Format Antigen affinity purified
Clonality Polyclonal (goat origin)
Isotype Goat Ig
Purity Antigen affinity
Gene ID 7840
Applications Immunohistochemistry (FFPE) : 1-3ug/ml
ELISA (peptide) LOD : 1:32000
Limitations This ALMS1 antibody is available for research use only.
Review this product on BioCompare and get a $20 Amazon gift card

Description

Additional name(s) for this target protein: Alstrom syndrome 1

Application Notes

Optimal dilution of the ALMS1 antibody should be determined by the researcher.

1. The ALMS1 antibody may cross react with hypothetical protein (XP_169104) and ERAL1 (NP_005693).

Immunogen

Amino acids RVTNQLLGRKVPWD were used as the immunogen for this ALMS1 antibody.

Storage

Aliquot and store the ALMS1 antibody at -20oC.

Cross
Bulk Quote Request Form
Name*:
Organization*:
Email*:
Phone Number*:
Catalog No.*:
Comments and Specifics(amount, formulation, etc.)*:
Validation code: Captchapackage Image


Can't read the image? click here to refresh.
    *required field

Your bulk quote request has been submitted successfully!

Please contact us if you have any questions.