• Tel: 858.663.9055
  • SeparatorEmail: info@nsjbio.com
  • Tel: 858.663.9055
  • Email: info@nsjbio.com
Home >> Antibodies >> Alkyl-DHAP synthase Antibody / AGPS

Alkyl-DHAP synthase Antibody / AGPS (RQ7215)

  Catalog No Formulation Size Price (USD)  
Image RQ7215 0.5mg/ml if reconstituted with 0.2ml sterile DI water 100 ug 439
Bulk quote request
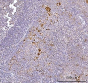
IHC staining of FFPE human liver cancer tissue with Alkyl-DHAP synthase antibody. HIER: boil tissue sections in pH8 EDTA for 20 min and allow to cool before testing.
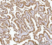
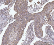
IHC staining of FFPE human adenocarcinoma of lung tissue with Alkyl-DHAP synthase antibody. HIER: boil tissue sections in pH8 EDTA for 20 min and allow to cool before testing.
IHC staining of FFPE human adenocarcinoma of lung tissue with Alkyl-DHAP synthase antibody. HIER: boil tissue sections in pH8 EDTA for 20 min and allow to cool before testing.
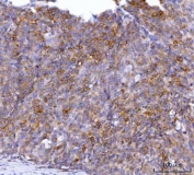
IHC staining of FFPE human esophageal squamous cell carcinoma tissue with Alkyl-DHAP synthase antibody. HIER: boil tissue sections in pH8 EDTA for 20 min and allow to cool before testing.
IHC staining of FFPE human cervical cancer tissue with Alkyl-DHAP synthase antibody. HIER: boil tissue sections in pH8 EDTA for 20 min and allow to cool before testing.
IHC staining of FFPE human tonsil tissue with Alkyl-DHAP synthase antibody. HIER: boil tissue sections in pH8 EDTA for 20 min and allow to cool before testing.
Immunofluorescent staining of FFPE human SiHa cells with Alkyl-DHAP synthase antibody (green) and DAPI nuclear stain (blue). HIER: steam section in pH6 citrate buffer for 20 min.
Western blot testing of human 1) HeLa, 2) K562, 3) HepG2, 4) RT4, 5) HEL, 6) Caco-2 and 7) SiHa cell lysate with Alkyl-DHAP synthase antibody. Predicted molecular weight ~73 kDa.
Flow cytometry testing of human U937 cells with Alkyl-DHAP synthase antibody at 1ug/million cells (blocked with goat sera); Red=cells alone, Green=isotype control, Blue= Alkyl-DHAP synthase antibody.
Availability 1-3 business days
Species Reactivity Human
Format Antigen affinity purified
Clonality Polyclonal (rabbit origin)
Isotype Rabbit IgG
Purity Antigen affinity purified
Buffer Lyophilized from 1X PBS with 2% Trehalose
UniProt O00116
Localization Cytoplasmic (peroxisome)
Applications Western Blot : 0.5-1ug/ml
Immunohistochemistry (FFPE) : 2-5ug/ml
Immunofluorescence : 5ug/ml
Flow Cytometry : 1-3ug/million cells
Direct ELISA : 0.1-0.5ug/ml
Limitations This Alkyl-DHAP synthase antibody is available for research use only.
Review this product on BioCompare and get a $20 Amazon gift card

Description

This gene is a member of the FAD-binding oxidoreductase/transferase type 4 family. It encodes a protein that catalyzes the second step of ether lipid biosynthesis in which acyl-dihydroxyacetonephosphate (DHAP) is converted to alkyl-DHAP by the addition of a long chain alcohol and the removal of a long-chain acid anion. The protein is localized to the inner aspect of the peroxisomal membrane and requires FAD as a cofactor. Mutations in this gene have been associated with rhizomelic chondrodysplasia punctata, type 3 and Zellweger syndrome.

Application Notes

Optimal dilution of the Alkyl-DHAP synthase antibody should be determined by the researcher.

Immunogen

Recombinant human protein (amino acids D154-L658) was used as the immunogen for the Alkyl-DHAP synthase antibody.

Storage

After reconstitution, the Alkyl-DHAP synthase antibody can be stored for up to one month at 4oC. For long-term, aliquot and store at -20oC. Avoid repeated freezing and thawing.

Cross
Bulk Quote Request Form
Name*:
Organization*:
Email*:
Phone Number*:
Catalog No.*:
Comments and Specifics(amount, formulation, etc.)*:
Validation code: Captchapackage Image


Can't read the image? click here to refresh.
    *required field

Your bulk quote request has been submitted successfully!

Please contact us if you have any questions.