• Tel: 858.663.9055
  • SeparatorEmail: info@nsjbio.com
  • Tel: 858.663.9055
  • Email: info@nsjbio.com
Home >> Antibodies >> ALKBH5 Antibody

ALKBH5 Antibody (F54722)

  Catalog No Formulation Size Price (USD)  
Image F54722-0.4ML In 1X PBS, pH 7.4, with 0.09% sodium azide 0.4 ml 429
Image
F54722-0.08ML In 1X PBS, pH 7.4, with 0.09% sodium azide 0.08 ml 199
Bulk quote request
Western blot testing of human HEK293 cell lysate with ALKBH5 antibody. Predicted molecular weight: ~52 kDa.
Western blot testing of human 1) HeLa and 2) MCF7 cell lysate with ALKBH5 antibody. Predicted molecular weight: ~52 kDa.
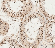
IHC testing of FFPE human testis tissue with ALKBH5 antibody. HIER: steam section in pH6 citrate buffer for 20 min and allow to cool prior to staining.
Flow cytometry testing of fixed and permeabilized human U-2 OS cells with ALKBH5 antibody; Blue=isotype control, Green= ALKBH5 antibody.
Availability 1-3 business days
Species Reactivity Human
Format Purified
Clonality Polyclonal (rabbit origin)
Isotype Rabbit Ig
Purity Antigen affinity purified
UniProt Q6P6C2
Localization Nuclear, cytoplasmic
Applications Western Blot : 1:500-1:2000
Flow Cytometry : 1:25 (1x10e6 cells)
Immunohistochemistry (FFPE) : 1:50-1:100
Limitations This ALKBH5 antibody is available for research use only.
Review this product on BioCompare and get a $20 Amazon gift card

Related Products

  • Applications : WB, IF, Direct ELISA
    Reactivity : Human

Description

Dioxygenase that demethylates RNA by oxidative demethylation: specifically demethylates N6-methyladenosine (m6A) RNA, the most prevalent internal modification of messenger RNA (mRNA) in higher eukaryotes. [UniProt]

Application Notes

The stated application concentrations are suggested starting points. Titration of the ALKBH5 antibody may be required due to differences in protocols and secondary/substrate sensitivity.

Immunogen

A portion of amino acids 302-330 from the human protein was used as the immunogen for the ALKBH5 antibody.

Storage

Aliquot the ALKBH5 antibody and store frozen at -20oC or colder. Avoid repeated freeze-thaw cycles.

Cross
Bulk Quote Request Form
Name*:
Organization*:
Email*:
Phone Number*:
Catalog No.*:
Comments and Specifics(amount, formulation, etc.)*:
Validation code: Captchapackage Image


Can't read the image? click here to refresh.
    *required field

Your bulk quote request has been submitted successfully!

Please contact us if you have any questions.