• Tel: 858.663.9055
  • SeparatorEmail: info@nsjbio.com
  • Tel: 858.663.9055
  • Email: info@nsjbio.com
Home >> Antibodies >> ALKBH1 Antibody / Nucleic acid dioxygenase ALKBH1

ALKBH1 Antibody / Nucleic acid dioxygenase ALKBH1 (RQ5956)

  Catalog No Formulation Size Price (USD)  
Image RQ5956 0.5mg/ml if reconstituted with 0.2ml sterile DI water 100 ug 439
Bulk quote request
Immunofluorescent staining of FFPE human U-2 OS cells with ALKBH1 antibody (green) and Alpha Tubulin mAb (red). HIER: steam section in pH6 citrate buffer for 20 min.
Immunofluorescent staining of FFPE human U-2 OS cells with ALKBH1 antibody (green) and DAPI nuclear stain (blue). HIER: steam section in pH6 citrate buffer for 20 min.
Western blot testing of human 1) Jurkat and 2) K562 lysate with ALKBH1 antibody. Predicted molecular weight ~44 kDa.
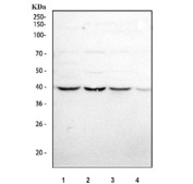
Western blot testing of human 1) A549, 2) PC-3, 3) Jurkat and 4) K562 cell lysate with ALKBH1 antibody. Predicted molecular weight ~44 kDa.
Availability 1-3 business days
Species Reactivity Human
Format Antigen affinity purified
Clonality Polyclonal (rabbit origin)
Isotype Rabbit IgG
Purity Affinity purified
Buffer Lyophilized from 1X PBS with 2% Trehalose
UniProt Q13686
Localization Nuclear, cytoplasmic
Applications Western Blot : 0.5-1ug/ml
Immunofluorescence : 5ug/ml
Limitations This ALKBH1 antibody is available for research use only.
Review this product on BioCompare and get a $20 Amazon gift card

Description

Nucleic acid dioxygenase ALKBH1 is an enzyme that in humans is encoded by the ALKBH1 gene. It is mapped to 14q24.3. This gene encodes a homolog to the E. coli alkB gene product. The E. coli alkB protein is part of the adaptive response mechanism of DNA alkylation damage repair. It is involved in damage reversal by oxidative demethylation of 1-methyladenine and 3-methylcytosine.

Application Notes

Optimal dilution of the ALKBH1 antibody should be determined by the researcher.

Immunogen

Amino acids YLKTARVNMTVRQVLATDQNFPLEPIEDEKRD from the human protein were used as the immunogen for the ALKBH1 antibody.

Storage

After reconstitution, the ALKBH1 antibody can be stored for up to one month at 4oC. For long-term, aliquot and store at -20oC. Avoid repeated freezing and thawing.

Cross
Bulk Quote Request Form
Name*:
Organization*:
Email*:
Phone Number*:
Catalog No.*:
Comments and Specifics(amount, formulation, etc.)*:
Validation code: Captchapackage Image


Can't read the image? click here to refresh.
    *required field

Your bulk quote request has been submitted successfully!

Please contact us if you have any questions.