• Tel: 858.663.9055
  • SeparatorEmail: info@nsjbio.com
  • Tel: 858.663.9055
  • Email: info@nsjbio.com
Home >> Antibodies >> ALIX Antibody / ALG-2-interacting protein X / PDCD6IP

ALIX Antibody / ALG-2-interacting protein X / PDCD6IP (R32288)

  Catalog No Formulation Size Price (USD)  
Image R32288 0.5mg/ml if reconstituted with 0.2ml sterile DI water 100 ug 439
Bulk quote request
Western blot testing of 1) rat brain, 2) rat testis, 3) rat liver, 4) mouse liver, 5) mouse spleen, 6) mouse NIH3T3 and 7) human HeLa lysate with ALIX antibody. Expected/observed molecular weight ~96 kDa.
Western blot testing of 1) rat testis, 2) mouse testis, 3) human A375 and 4) human HeLa lysate with ALIX antibody. Expected/observed molecular weight ~96 kDa.
Western blot testing of 1) human HeLa, 2) human HepG2, 3) human PANC-1, 4) rat liver, 5) rat RH35, 6) mouse liver and 7) mouse NIH 3T3 cell lysate with ALIX antibody. Expected/observed molecular weight ~96 kDa.
Western blot testing of 1) human HeLa, 2) human HepG2, 3) rat liver, 4) rat RH35, 5) mouse liver and 6) mouse NIH 3T3 cell lysate with ALIX antibody. Expected/observed molecular weight ~96 kDa.
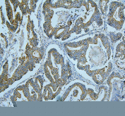
IHC staining of FFPE human intestinal cancer tissue with ALIX antibody. HIER: boil tissue sections in pH8 EDTA buffer for 20 min and allow to cool before testing.
Immunofluorescent staining of FFPE human pancreatic cancer tissue with ALIX antibody (green) and DAPI nuclear stain (blue). HIER: steam section in pH8 EDTA buffer for 20 min.
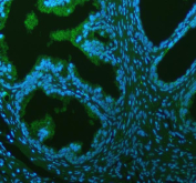
Immunofluorescent staining of FFPE human prostate cancer tissue with ALIX antibody (green) and DAPI nuclear stain (blue). HIER: steam section in pH8 EDTA buffer for 20 min.
IHC staining of FFPE rat liver tissue with ALIX antibody. HIER: boil tissue sections in pH6 citrate buffer for 20 min and allow to cool before testing.
Immunofluorescent staining of FFPE human T-47D cells with ALIX antibody (green) and DAPI nuclear stain (blue). HIER: steam section in pH6 citrate buffer for 20 min.
Immunofluorescent staining of FFPE human A549 cells with ALIX antibody (green) and DAPI nuclear stain (blue). HIER: steam section in pH6 citrate buffer for 20 min.
Availability 1-3 business days
Species Reactivity Human, Mouse, Rat
Format Antigen affinity purified
Clonality Polyclonal (rabbit origin)
Isotype Rabbit IgG
Purity Antigen affinity
Buffer Lyophilized from 1X PBS with 2% Trehalose
UniProt Q8WUM4
Localization Cytoplasm, cell junction, secreted
Applications Western Blot : 0.5-1ug/ml
Immunohistochemistry : 2-5ug/ml
Immunofluorescence : 5ug/ml
Flow Cytometry : 1-3ug/million cells
Limitations This ALIX antibody is available for research use only.
Review this product on BioCompare and get a $20 Amazon gift card

Description

Programmed cell death 6-interacting protein, or ALG-2-interacting protein X, is a protein that in humans is encoded by the PDCD6IP gene. This gene encodes a protein that functions within the ESCRT pathway in the abscission stage of cytokinesis, in intralumenal endosomal vesicle formation, and in enveloped virus budding. Studies using mouse cells have shown that overexpression of this protein can block apoptosis. In addition, the product of this gene binds to the product of the PDCD6 gene, a protein required for apoptosis, in a calcium-dependent manner. This gene product also binds to endophilins, proteins that regulate membrane shape during endocytosis. Overexpression of this gene product and endophilins results in cytoplasmic vacuolization, which may be partly responsible for the protection against cell death. Several alternatively spliced transcript variants encoding different isoforms have been found for this gene.

Application Notes

Optimal dilution of the ALIX antibody should be determined by the researcher.

Immunogen

Amino acids 2-330 from the human protein were used as the immunogen for the ALIX antibody.

Storage

After reconstitution, the ALIX antibody can be stored for up to one month at 4oC. For long-term, aliquot and store at -20oC. Avoid repeated freezing and thawing.

Cross
Bulk Quote Request Form
Name*:
Organization*:
Email*:
Phone Number*:
Catalog No.*:
Comments and Specifics(amount, formulation, etc.)*:
Validation code: Captchapackage Image


Can't read the image? click here to refresh.
    *required field

Your bulk quote request has been submitted successfully!

Please contact us if you have any questions.