• Tel: 858.663.9055
  • SeparatorEmail: info@nsjbio.com
  • Tel: 858.663.9055
  • Email: info@nsjbio.com
Home >> Antibodies >> Aldolase B Antibody / ALDOB

Aldolase B Antibody / ALDOB (RQ5569)

  Catalog No Formulation Size Price (USD)  
Image RQ5569 0.5mg/ml if reconstituted with 0.2ml sterile DI water 100 ug 439
Bulk quote request
Western blot testing of human 1) placenta, 2) K562, 3) HepG2, 4) ThP-1, 5) HEK293 and 6) PC-3 lysate with Aldolase B antibody. Predicted molecular weight ~39 kDa.
Western blot testing of 1) rat liver, 2) rat kidney, 3) mouse liver and 4) mouse kidney lysate with Aldolase B antibody. Predicted molecular weight ~39 kDa.
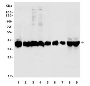
Western blot testing of human 1) K562, 2) HepG2, 3) ThP-1, 4) HEK293, 5) PC-3, 6) rat liver, 7) mouse liver, 8) monkey liver, 9) monkey kidney lysate with Aldolase B antibody. Predicted molecular weight ~39 kDa.
IHC staining of FFPE human liver cancer with Aldolase B antibody. HIER: boil tissue sections in pH6, 10mM citrate buffer, for 20 min and allow to cool before testing.
IHC staining of FFPE rat liver with Aldolase B antibody. HIER: boil tissue sections in pH6, 10mM citrate buffer, for 20 min and allow to cool before testing.
Immunofluorescent staining of FFPE human Caco-2 cells with Aldolase B antibody (green) and DAPI nuclear stain (blue). HIER: steam section in pH6 citrate buffer for 20 min.
Immunofluorescent staining of FFPE human A431 cells with Aldolase B antibody (red) and DAPI nuclear stain (blue). HIER: steam section in pH6 citrate buffer for 20 min.
Immunofluorescent staining of FFPE human U-2 OS cells with Aldolase B antibody (red) and DAPI nuclear stain (blue). HIER: steam section in pH6 citrate buffer for 20 min.
Flow cytometry testing of human SiHa cells with Aldolase B antibody at 1ug/million cells (blocked with goat sera); Red=cells alone, Green=isotype control, Blue= Aldolase B antibody.
Availability 1-3 business days
Species Reactivity Human, Mouse, Rat
Format Antigen affinity purified
Clonality Polyclonal (rabbit origin)
Isotype Rabbit IgG
Purity Affinity purified
Buffer Lyophilized from 1X PBS with 2% Trehalose and 0.025% sodium azide
UniProt P05062
Applications Western Blot : 0.25-0.5ug/ml
Immunohistochemistry (FFPE) : 1-2ug/ml
Flow Cytometry : 1-3ug/million cells
Immunofluorescence : 2-4ug/ml
Direct ELISA : 0.1-0.5ug/ml
Limitations This Aldolase B antibody is available for research use only.
Review this product on BioCompare and get a $20 Amazon gift card

Description

Aldolase B, also known as fructose-bisphosphate aldolase B or liver-type aldolase is one of three isoenzymes (A, B, and C) of the class I fructose 1,6-bisphosphate aldolase enzyme (EC 4.1.2.13), and plays a key role in both glycolysis and gluconeogenesis. It is mapped to 9q31.1. Fructose-1,6-bisphosphate aldolase (EC 4.1.2.13) is a tetrameric glycolytic enzyme that catalyzes the reversible conversion of fructose-1,6-bisphosphate to glyceraldehyde 3-phosphate and dihydroxyacetone phosphate. Vertebrates have 3 aldolase isozymes which are distinguished by their electrophoretic and catalytic properties. Differences indicate that aldolases A, B, and C are distinct proteins, the products of a family of related 'housekeeping' genes exhibiting developmentally regulated expression of the different isozymes. The developing embryo produces aldolase A, which is produced in even greater amounts in adult muscle where it can be as much as 5% of total cellular protein. In adult liver, kidney and intestine, aldolase A expression is repressed and aldolase B is produced. In brain and other nervous tissue, aldolase A and C are expressed about equally. There is a high degree of homology between aldolase A and C. Defects in ALDOB cause hereditary fructose intolerance.

Application Notes

Optimal dilution of the Aldolase B antibody should be determined by the researcher.

Immunogen

A human recombinant protein (amino acids Y85-Y364) was used as the immunogen for the Aldolase B antibody.

Storage

After reconstitution, the Aldolase B antibody can be stored for up to one month at 4oC. For long-term, aliquot and store at -20oC. Avoid repeated freezing and thawing.

Cross
Bulk Quote Request Form
Name*:
Organization*:
Email*:
Phone Number*:
Catalog No.*:
Comments and Specifics(amount, formulation, etc.)*:
Validation code: Captchapackage Image


Can't read the image? click here to refresh.
    *required field

Your bulk quote request has been submitted successfully!

Please contact us if you have any questions.