• Tel: 858.663.9055
  • SeparatorEmail: info@nsjbio.com
  • Tel: 858.663.9055
  • Email: info@nsjbio.com
Home >> Antibodies >> ALDOA Antibody / Aldolase A

ALDOA Antibody / Aldolase A [clone AEAB-1] (RQ5036)

  Catalog No Formulation Size Price (USD)  
Image RQ5036 Antibody in PBS with 0.02% sodium azide, 50% glycerol and 0.4-0.5mg/ml BSA 100 ul 439
Microvalidated Rab Mono Image
Bulk quote request
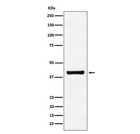
Western blot testing of human A549 cell lysate with ALDOA antibody. Predicted molecular weight ~40 kDa.
Availability 1-2 weeks
Species Reactivity Human
Format Purified
Clonality Rabbit Monoclonal
Isotype Rabbit IgG
Clone Name AEAB-1
Purity Affinity purified
UniProt P04075
Applications Western Blot : 1:500-1:2000
Limitations This ALDOA antibody is available for research use only.
Review this product on BioCompare and get a $20 Amazon gift card

Related Products

  • Applications : WB, IHC-P, IF, FACS
    Reactivity : Human
  • Applications : WB, IHC, ELISA
    Reactivity : Human, Mouse
    Pred. Reactivity : Rabbit
  • Applications : IF, IHC, WB, ELISA
    Reactivity : Human, Mouse, Rat
    Pred. Reactivity : Rabbit
  • Applications : WB, ELISA (peptide)
    Reactivity : Human, Mouse, Rat
    Pred. Reactivity : Cow, Dog
  • Applications : WB, ELISA (peptide)
    Reactivity : Human, Mouse, Rat
    Pred. Reactivity : Cow
  • Applications : WB, IHC-P, FACS, Direct ELISA
    Reactivity : Human, Mouse, Rat

Description

This gene encodes a member of the class I fructose-bisphosphate aldolase protein family. The encoded protein is a glycolytic enzyme that catalyzes the reversible conversion of fructose-1,6-bisphosphate to glyceraldehyde 3-phosphate and dihydroxyacetone phosphate. Three aldolase isozymes (A, B, and C), encoded by three different genes, are differentially expressed during development. [RefSeq]

Application Notes

Optimal dilution of the ALDOA antibody should be determined by the researcher.

Immunogen

A synthetic peptide specific to human Aldolase / ALDOA was used as the immunogen for the ALDOA antibody.

Storage

Store the ALDOA antibody at -20oC.

Cross
Bulk Quote Request Form
Name*:
Organization*:
Email*:
Phone Number*:
Catalog No.*:
Comments and Specifics(amount, formulation, etc.)*:
Validation code: Captchapackage Image


Can't read the image? click here to refresh.
    *required field

Your bulk quote request has been submitted successfully!

Please contact us if you have any questions.