• Tel: 858.663.9055
  • SeparatorEmail: info@nsjbio.com
  • Tel: 858.663.9055
  • Email: info@nsjbio.com
Home >> Antibodies >> ALDH6A1 Antibody

ALDH6A1 Antibody (RQ6085)

  Catalog No Formulation Size Price (USD)  
Image RQ6085 0.5mg/ml if reconstituted with 0.2ml sterile DI water 100 ug 439
Bulk quote request
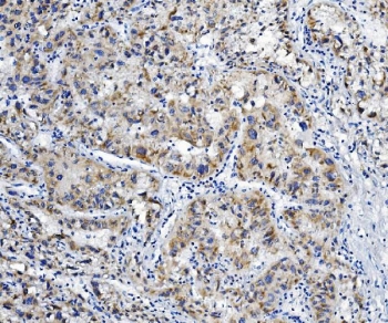
IHC staining of FFPE human liver cancer with ALDH6A1 antibody. HIER: boil tissue sections in pH8 EDTA for 20 min and allow to cool before testing.
Western blot testing of 1) rat liver, 2) rat heart, 3) rat kidney, 4) mouse liver, 5) mouse kidney, 6) mouse NIH 3T3, 7) human MCF7 and 8) human HepG2 lysate with ALDH6A1 antibody. Predicted molecular weight ~58 kDa.
Availability 1-3 business days
Species Reactivity Human, Mouse, Rat
Format Antigen affinity purified
Clonality Polyclonal (rabbit origin)
Isotype Rabbit IgG
Purity Affinity purified
Buffer Lyophilized from 1X PBS with 2% Trehalose and 0.025% sodium azide
UniProt Q02252
Localization Cytoplasmic
Applications Western Blot : 1-2ug/ml
Immunohistochemistry (FFPE) : 2-5ug/ml
Limitations This ALDH6A1 antibody is available for research use only.
Review this product on BioCompare and get a $20 Amazon gift card

Related Products

  • Applications : IF, WB, IHC, ELISA
    Reactivity : Human
  • Applications : WB, IHC-P, ELISA (peptide)
    Reactivity : Human, Mouse
    Pred. Reactivity : Rat, Dog, Pig, Cow
  • Applications : WB, IHC, ELISA (peptide)
    Reactivity : Human, Mouse, Rat
    Pred. Reactivity : Dog, Pig, Cow
  • Applications : WB, IHC, ELISA (peptide)
    Reactivity : Human, Mouse, Rat
    Pred. Reactivity : Cow, Dog, Pig
  • Applications : IHC-P, WB, FACS
    Reactivity : Human

Description

Methylmalonate-semialdehyde dehydrogenase [acylating], mitochondrial (MMSDH) is an enzyme that in humans is encoded by the ALDH6A1 gene. This gene encodes a member of the aldehyde dehydrogenase protein family. The encoded protein is a mitochondrial methylmalonate semialdehyde dehydrogenase that plays a role in the valine and pyrimidine catabolic pathways. This protein catalyzes the irreversible oxidative decarboxylation of malonate and methylmalonate semialdehydes to acetyl- and propionyl-CoA. Methylmalonate semialdehyde dehydrogenase deficiency is characterized by elevated beta-alanine, 3-hydroxypropionic acid, and both isomers of 3-amino and 3-hydroxyisobutyric acids in urine organic acids. Alternate splicing results in multiple transcript variants.

Application Notes

Optimal dilution of the ALDH6A1 antibody should be determined by the researcher.

Immunogen

Amino acids DTNFYGKQGIQFYTQLK from the human protein were used as the immunogen for the ALDH6A1 antibody.

Storage

After reconstitution, the ALDH6A1 antibody can be stored for up to one month at 4oC. For long-term, aliquot and store at -20oC. Avoid repeated freezing and thawing.

Cross
Bulk Quote Request Form
Name*:
Organization*:
Email*:
Phone Number*:
Catalog No.*:
Comments and Specifics(amount, formulation, etc.)*:
Validation code: Captchapackage Image


Can't read the image? click here to refresh.
    *required field

Your bulk quote request has been submitted successfully!

Please contact us if you have any questions.