• Tel: 858.663.9055
  • SeparatorEmail: info@nsjbio.com
  • Tel: 858.663.9055
  • Email: info@nsjbio.com
Home >> Antibodies >> ALDH3A2 Antibody

ALDH3A2 Antibody (R32467)

  Catalog No Formulation Size Price (USD)  
Image R32467 0.5mg/ml if reconstituted with 0.2ml sterile DI water 100 ug 439
Bulk quote request
Western blot testing of 1) rat liver and 2) human 22RV1 lysate with ALDH3A2 antibody at 0.5ug/ml. Predicted molecular weight: ~54kDa.
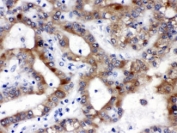
IHC testing of FFPE human liver cancer tissue with ALDH3A2 antibody at 1ug/ml. HIER: steam in pH6 citrate buffer and allow to cool prior to staining.
Availability 1-3 business days
Species Reactivity Human, Rat
Format Antigen affinity purified
Clonality Polyclonal (rabbit origin)
Isotype Rabbit IgG
Purity Antigen affinity
Buffer Lyophilized from 1X PBS with 2.5% BSA and 0.025% sodium azide
UniProt P51648
Localization Cytoplasmic
Applications Western Blot : 0.5-1ug/ml
IHC (FFPE) : 1-2ug/ml
Limitations This ALDH3A2 antibody is available for research use only.
Review this product on BioCompare and get a $20 Amazon gift card

Related Products

  • Applications : WB, ELISA (peptide)
    Reactivity : Mouse, Rat
  • Applications : IHC, ELISA (peptide)
    Reactivity : Human
    Pred. Reactivity : Cow, Dog

Description

Fatty aldehyde dehydrogenase (or Long-chain-aldehyde dehydrogenase) is an aldehyde dehydrogenase enzyme that in human is encoded in the ALDH3A2 gene on chromosome 17. ALDH3A2 catalyzes the oxidation of long-chain aliphatic aldehydes into fatty acids. It is known to act on a variety of both saturated and unsaturated aliphatic aldehydes between 6 to 24 carbons in length, as well as dihydrophytal, a 20-carbon branched chain aldehyde. It requires NAD+ as a co-factor. The encoded enzyme is responsible for conversion of the sphingosine 1-phosphate (S1P) degradation product hexadecenal to hexadecenoic acid. ALD3H2 is expressed in the human liver and has been found to localize the microsome fraction inside the cell.

Application Notes

Optimal dilution of the ALDH3A2 antibody should be determined by the researcher.

Immunogen

Amino acids M1-Q100 were used as the immunogen for the ALDH3A2 antibody.

Storage

Prior to reconstitution, store at 4oC. After reconstitution, the ALDH3A2 antibody can be stored for up to one month at 4oC. For long-term, aliquot and store at -20oC. Avoid repeated freezing and thawing.

Cross
Bulk Quote Request Form
Name*:
Organization*:
Email*:
Phone Number*:
Catalog No.*:
Comments and Specifics(amount, formulation, etc.)*:
Validation code: Captchapackage Image


Can't read the image? click here to refresh.
    *required field

Your bulk quote request has been submitted successfully!

Please contact us if you have any questions.