• Tel: 858.663.9055
  • SeparatorEmail: info@nsjbio.com
  • Tel: 858.663.9055
  • Email: info@nsjbio.com
Home >> Antibodies >> ALDH3A1 Antibody / ALDH3 / Aldehyde dehydrogenase 3

ALDH3A1 Antibody / ALDH3 / Aldehyde dehydrogenase 3 (R35824)

  Catalog No Formulation Size Price (USD)  
Image R35824-100UG 0.5 mg/ml in 1X TBS, pH7.3, with 0.5% BSA (US sourced) and 0.02% sodium azide 100 ug 449
Bulk quote request
Western blot testing of mouse eye lysate with ALDH3A1 antibody at 0.01ug/ml. Predicted molecular weight: ~51kDa.
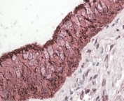
IHC staining of FFPE human lung with ALDH3A1 antibody at 4ug/ml. HIER: steamed with pH6 citrate buffer, AP-staining.
Availability 1-3 business days
Species Reactivity Human, Mouse
Format Antigen affinity purified
Clonality Polyclonal (goat origin)
Isotype Goat Ig
Purity Antigen affinity
Gene ID 218
Applications Western Blot : 0.01-0.03ug/ml
Immunohistochemistry (FFPE) : 3-5ug/ml
ELISA (peptide) LOD : 1:32000
Limitations This ALDH3A1 antibody is available for research use only.
Review this product on BioCompare and get a $20 Amazon gift card

Related Products

  • Applications : WB, IHC-P
    Reactivity : Human
  • Applications : WB, IHC-P, IF, Direct ELISA
    Reactivity : Human
  • Applications : WB, IHC-P, FACS, Direct ELISA
    Reactivity : Human

Description

Additional name(s) for this target protein: Aldehyde dehydrogenase 3 family, member A1; Aldehyde dehydrogenase, dimeric NADP-preferring

Application Notes

Optimal dilution of the ALDH3A1 antibody should be determined by the researcher.

Immunogen

Amino acids RYPPSPAKMTQH were used as the immunogen for this ALDH3A1 antibody.

Storage

Aliquot and store the ALDH3A1 antibody at -20oC.

Cross
Bulk Quote Request Form
Name*:
Organization*:
Email*:
Phone Number*:
Catalog No.*:
Comments and Specifics(amount, formulation, etc.)*:
Validation code: Captchapackage Image


Can't read the image? click here to refresh.
    *required field

Your bulk quote request has been submitted successfully!

Please contact us if you have any questions.